missing translation for 'onlineSavingsMsg'
Learn More

Invitrogen™ CNTF Polyclonal Antibody

Product Code. 15984625
Change view
Click to view available options
Quantity:
100 μg
Unit Size:
100µg
1 product options available for selection
Product selection table with 1 available options. Use arrow keys to navigate and Enter or Space to select.
Product Code. Quantity unitSize
15984625 100 μg 100µg
Use arrow keys to navigate between rows. Press Enter or Space to select a product option. 1 options available.
1 options
This item is not returnable. View return policy
Product Code. 15984625 Supplier Invitrogen™ Supplier No. PA579055

Please to purchase this item. Need a web account? Register with us today!

This item is not returnable. View return policy

Rabbit Polyclonal Antibody

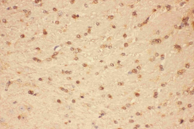
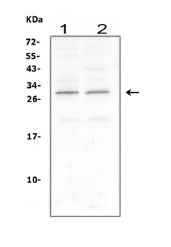
Reconstitute with 0.2 mL of distilled water to yield a concentration of 500 μg/mL. Positive Control - WB: rat brain tissue, mouse brain tissue. IHC: mouse brain tissue, rat brain tissue.

The protein encoded by this gene is a polypeptide hormone whose actions appear to be restricted to the nervous system where it promotes neurotransmitter synthesis and neurite outgrowth in certain neuronal populations. The protein is a potent survival factor for neurons and oligodendrocytes and may be relevant in reducing tissue destruction during inflammatory attacks. A mutation in this gene, which results in aberrant splicing, leads to ciliary neurotrophic factor deficiency, but this phenotype is not causally related to neurologic disease. A read-through transcript variant composed of ZFP91 and CNTF sequence has been identified, but it is thought to be non-coding. Read-through transcription of ZFP91 and CNTF has also been observed in mouse.
TRUSTED_SUSTAINABILITY

Specifications

Antigen CNTF
Applications Immunohistochemistry (Paraffin), Western Blot
Classification Polyclonal
Concentration 500 μg/mL
Conjugate Unconjugated
Formulation PBS with 5mg BSA and 0.05mg sodium azide
Gene CNTF
Gene Accession No. P20294, P51642
Gene Alias AI429687; Ciliary neurotrophic factor; ciliary neurotropic factor; Cntf; HCNTF; H-CNTF
Gene Symbols CNTF
Host Species Rabbit
Immunogen E.coli-derived mouse CNTF recombinant protein (Position: A2-M198).
Purification Method Antigen affinity chromatography
Quantity 100 μg
Regulatory Status RUO
Primary or Secondary Primary
Gene ID (Entrez) 12803, 25707
Target Species Mouse, Rat
Content And Storage -20°C
Product Type Antibody
Form Lyophilized
Isotype IgG
Show More Show Less
Product Title
Select an issue

By clicking Submit, you acknowledge that you may be contacted by Fisher Scientific in regards to the feedback you have provided in this form. We will not share your information for any other purposes. All contact information provided shall also be maintained in accordance with our Privacy Policy.