missing translation for 'onlineSavingsMsg'
Learn More

ABAT Mouse anti-Human, Clone: OTI3D2, lyophilized, TrueMAB™

Mouse Monoclonal Antibody

Brand:  Origene Technologies CF806896

Encompass_Preferred

Product Code. 17669041

  • 726.00 € / 100µg

Please to purchase this item. Need a web account? Register with us today!

This item is not returnable. View return policy

Description

Description

Reconstitute with PBS (pH 7.3) and recommend to perform another round of desalting process using Product No. 7KMWCO

ABAT (4-aminobutyrate aminotransferase) is responsible for catabolism of gamma-aminobutyric acid (GABA), an important, mostly inhibitory neurotransmitter in the central nervous system, into succinic semialdehyde. The active enzyme is a homodimer of 50-kD subunits complexed to pyridoxal-5-phosphate. The protein sequence is over 95% similar to the pig protein. GABA is estimated to be present in nearly one-third of human synapses. ABAT in liver and brain is controlled by 2 codomit alleles with a frequency in a Caucasian population of 0.56 and 0.44. The ABAT deficiency phenotype includes psychomotor retardation, hypotonia, hyperreflexia, lethargy, refractory seizures, and EEG abnormalities. Multiple alternatively spliced transcript variants encoding the same protein isoform have been found for this gene.
Specifications

Specifications

ABAT
Monoclonal
Unconjugated
ABAT
GABA-AT, GABAT, NPD009
Mouse
Affinity Chromatography
RUO
18
-20° C, Avoid Freeze/Thaw Cycles
Lyophilized
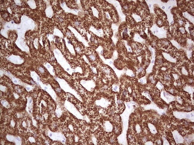
Immunohistochemistry (Paraffin), Western Blot
OTI3D2
PBS with 8% trehalose and no preservative; pH 7.3
P80404
ABAT
Human recombit protein fragment corresponding to amino acids 29-323 of human ABAT produced in E.coli.
100 μg
Primary
Human
Antibody
IgG1
Product Suggestions

Product Suggestions

Videos
SDS
Documents

Documents

Certificates
Promotions

Promotions

Product Content Correction

The Fisher Scientific Encompass Program offers items which are not part of our distribution portfolio. These products typically do not have pictures or detailed descriptions. However, we are committed to improving your shopping experience. Please use the form below to provide feedback related to the content on this product.

Product Title

By clicking Submit, you acknowledge that you may be contacted by Fisher Scientific in regards to the feedback you have provided in this form. We will not share your information for any other purposes. All contact information provided shall also be maintained in accordance with our Privacy Policy.

Thank You! Your feedback has been submitted. Fisher Scientific is always working to improve our content for you. We appreciate your feedback.