missing translation for 'onlineSavingsMsg'
Learn More
Learn More
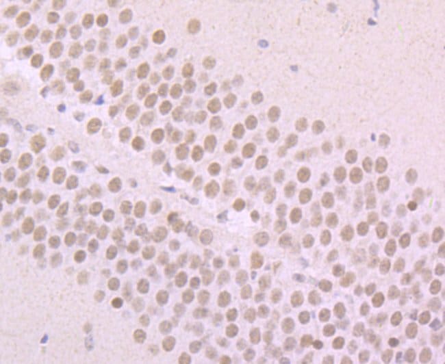
Invitrogen™ alpha Synuclein Recombinant Rabbit Monoclonal Antibody (JB42-33)

Description
alpha Synuclein Recombinant Monoclonal Antibody for Western Blot, ICC/IF, IHC (P), Flow, IP
Alpha-synuclein is a member of the synuclein family, which also includes beta- and gamma-synuclein. These proteins are abundant in the brain and play a role in regulating synaptic transmission and membrane trafficking. Alpha- and beta-synuclein have been shown to selectively inhibit phospholipase D2, suggesting that they may also be involved in signaling pathways. Defects in the SNCA gene, which encodes alpha-synuclein, have been implicated in the pathogenesis of Parkinson's disease. Additionally, alpha-synuclein peptides are a major component of amyloid plaques in the brains of patients with Alzheimer's disease. Multiple alternatively spliced transcripts encoding different isoforms have been identified for this gene. Diseases associated with SNCA include Parkinson Disease 1, Autosomal Dominant and Dementia, Lewy Body.
Specifications
Specifications
| Antigen | alpha Synuclein |
| Applications | Flow Cytometry, Immunohistochemistry (Paraffin), Immunoprecipitation, Western Blot, Immunocytochemistry |
| Classification | Recombinant Monoclonal |
| Clone | JB42-33 |
| Concentration | 1 mg/mL |
| Conjugate | Unconjugated |
| Formulation | TBS with 0.05% BSA, 40% glycerol and 0.05% sodium azide; pH 7.4 |
| Gene | SNCA |
| Gene Accession No. | P37840 |
| Gene Alias | Alpha synuclein; alphaSYN; alpha-synuclein; NACP; non A-beta component of AD amyloid; non-A beta component of AD amyloid; non-A4 component of amyloid; Non-A4 component of amyloid precursor; PARK1; PARK4; PD1; Snca; Syn; synuclein alpha; synuclein alpha-140; synuclein, alpha; synuclein, alpha (non A4 component of amyloid precursor) |
| Show More |
Product Title
By clicking Submit, you acknowledge that you may be contacted by Fisher Scientific in regards to the feedback you have provided in this form. We will not share your information for any other purposes. All contact information provided shall also be maintained in accordance with our Privacy Policy.
Spot an opportunity for improvement?