missing translation for 'onlineSavingsMsg'
Learn More

Phospho-HSP27 (Ser85) Rabbit anti-Human, Rat, Polyclonal, Invitrogen™

Product Code. 11521422
Change view
Click to view available options
Quantity:
100 μg
Unit Size:
100µg
1 product options available for selection
Product selection table with 1 available options. Use arrow keys to navigate and Enter or Space to select.
Product Code. Quantity unitSize
11521422 100 μg 100µg
Use arrow keys to navigate between rows. Press Enter or Space to select a product option. 1 options available.
1 options
This item is not returnable. View return policy
Product Code. 11521422 Supplier Invitrogen Supplier No. PA1005

Please to purchase this item. Need a web account? Register with us today!

This item is currently unavailable or has been discontinued.
View the product page for possible alternatives.
View alternative products

This item is not returnable. View return policy

Rabbit Polyclonal Antibody

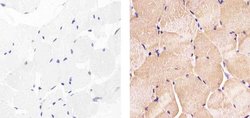
PA1-005 detects phosphorylated heat shock protein 27 (HSP27) from human and rat tissue samples. This antibody does not detect the unphosphorylated form of the protein. PA1-005 has been successfully used in Western blot, immunoprecipitation, and immunofluorescence procedures. By Western blot, this antibody detects an ∽27 kDa protein representing phosphorylated HSP27(Ser85) from rat skeletal muscle extracts. The PA1-005 immunogen is a synthetic phosphopeptide corresponding to residues R(82) Q L S(p) S G V S E I R(92) C of rat HSP27. This sequence is completely conserved in mouse.

HSP27 also referred to as the Estrogen-Regulated 24K protein and HSP28, is one of several small heat shock proteins (HSP) produced by all organisms studied. HSP27 synthesis is induced by elevated temperature, as well as estrogen in hormone responsive cells. Interestingly, human HSP27 also shares greater than 50% homology with low molecular weight Drosophila HSP′s and mammalian a-crystalline lens protein. Because of the estrogen responsive nature of HSP27, this protein has been studied extensively in human estrogen responsive tissues such as cervix, endometrium and breast tissue. This work has led to the suggestion that HSP27 may be a useful marker in classifying various hormone sensitive tumors.

Abbreviations: AP=Affinity Purification, ChIP=Chromatin IP, CM=Confocal Microscopy, DB=Dot Blot, EIA=ELISA, EM=Electron Microscopy, FC=Flow Cytometry, GS=Gel Supershift, IC=Immunocytochemistry, IF=Immunofluorescence, IH=Immunohistology/Immunohistochemistry, IP=Immunoprecipitation, IPK=IP Kinase Assay, KA=Kinase Assay, NEUT=Neutralization, PIA=Peptide Inhibition Assay, RIA=Radioimmunossay, TCA=T Cell Activation, WB=Western Blotting, Species: Am=Amphibian, Av=Avian, B=Bovine, Ca=Cat ,Ck=Chicken, D=Dog, Dr=Deer, Ds=Drosophila, El=Elk, Fg=Frog, Fs=Fish, Ft=Ferret, G=Goat, Gp=Guinea Pig, H=Horse, Hm=Hamster, Hu=Human, K=Kangaroo, Ms=Mouse, Nhp=Non-Human Primate, O=Ovine, P=Porcine, Rb=Rabbit, Rp=Reptile, Rt=Rat, Ys=Yeast, Xn=Xenopus, (wk)=cross reacts weakly

TRUSTED_SUSTAINABILITY

Specifications

Antigen Phospho-HSP27 (Ser85)
Applications Immunocytochemistry, Immunofluorescence, Immunohistochemistry (Paraffin), Immunoprecipitation, Western Blot
Classification Polyclonal
Conjugate Unconjugated
Formulation PBS with 30mg/mL BSA and 0.05% sodium azide
Gene HSPB1
Gene Accession No. P04792, P42930
Gene Alias Phospho-HSP 27; Heat shock protein beta-1; HspB1; HSP25; Heat shock 27 kDa protein; HSP 27; Stress-responsive protein 27; SRP27; Estrogen-regulated 24 kDa protein; 28 kDa heat shock protein; HSPB1; HSP27
Gene Symbols HSPB1
Host Species Rabbit
Immunogen Synthetic phosphopeptide corresponding to residues R(82) Q L S(p) S G V S E I R(92) C of rat HSP27.
Purification Method Antigen affinity chromatography
Quantity 100 μg
Regulatory Status RUO
Primary or Secondary Primary
Gene ID (Entrez) 24471, 3315
Target Species Human, Rat
Content And Storage -20° C, Avoid Freeze/Thaw Cycles
Product Type Antibody
Form Lyophilized
Isotype IgG
Show More Show Less
Product Title
Select an issue

By clicking Submit, you acknowledge that you may be contacted by Fisher Scientific in regards to the feedback you have provided in this form. We will not share your information for any other purposes. All contact information provided shall also be maintained in accordance with our Privacy Policy.