missing translation for 'onlineSavingsMsg'
Learn More

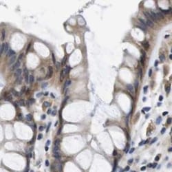
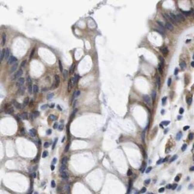
Axotrophin Antibody, Novus Biologicals™

Rabbit Polyclonal Antibody

Brand:  Novus Biologicals NBP1-90057-25ul

 View more versions of this product

Product Code. 18416231

  • 415.00 € / 25µL

Please to purchase this item. Need a web account? Register with us today!

This item is not returnable. View return policy

Description

Description

Axotrophin Polyclonal antibody specifically detects Axotrophin in Human samples. It is validated for Immunohistochemistry, Immunocytochemistry/ Immunofluorescence, Immunohistochemistry (Paraffin)
TRUSTED_SUSTAINABILITY
Specifications

Specifications

Axotrophin
Polyclonal
Immunohistochemistry 1:20 - 1:50, Immunocytochemistry/ Immunofluorescence 0.25-2 ug/mL, Immunohistochemistry-Paraffin 1:20 - 1:50
AXO, AXOT, Axotrophin, E3 ubiquitin-protein ligase MARCH7, EC 6.3.2, EC 6.3.2.-, MARCH-VIIDKFZp586F1122, membrane-associated ring finger (C3HC4) 7, Membrane-associated RING finger protein 7, Membrane-associated RING-CH protein VII, RING finger protein 177, RNF177axotrophin
This antibody was developed against Recombinant Protein corresponding to amino acids: ILPGSLFRFAVPPALGSNLTDNVMITVDIIPSGWNSADGKSDKTKSAPSRDPERLQKIK
25 μL
Zinc Finger
64844
Store at 4C short term. Aliquot and store at -20C long term. Avoid freeze-thaw cycles.
IgG
Immunohistochemistry, Immunocytochemistry, Immunohistochemistry (Paraffin)
Unconjugated
PBS (pH 7.2) and 40% Glycerol
Rabbit
Immunogen affinity purified
RUO
Primary
Human
Purified
Product Suggestions

Product Suggestions

Videos
SDS
Documents

Documents

Certificates
Promotions

Promotions

Product Content Correction

Your input is important to us. Please complete this form to provide feedback related to the content on this product.

Product Title

By clicking Submit, you acknowledge that you may be contacted by Fisher Scientific in regards to the feedback you have provided in this form. We will not share your information for any other purposes. All contact information provided shall also be maintained in accordance with our Privacy Policy.

Thank You! Your feedback has been submitted. Fisher Scientific is always working to improve our content for you. We appreciate your feedback.