missing translation for 'onlineSavingsMsg'
Learn More
Learn More
Invitrogen™ Beclin 1 Recombinant Rabbit Monoclonal Antibody (HL3130)

Rabbit Recombinant Monoclonal Antibody
Brand: Invitrogen™ MA556611
This item is not returnable.
View return policy
Description
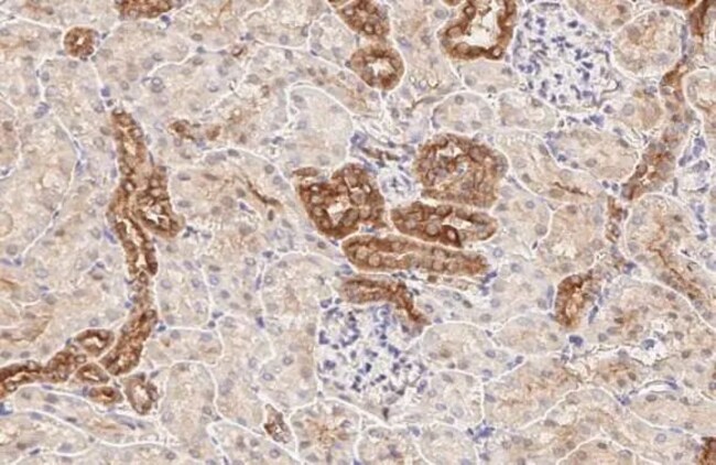
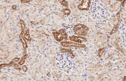
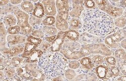
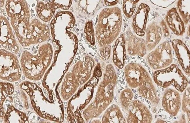
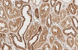
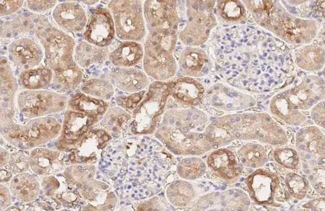
Beclin 1 Recombinant Monoclonal Antibody for Western Blot, ICC/IF, IHC (P)
Beclin 1 plays a central role in autophagy. It acts as a core subunit of the PI3K complex that mediates formation of phosphatidylinositol 3-phosphate. Different PI3K complex forms are believed to play a role in multiple membrane trafficking pathways - PI3KC3-C1 is involved in the initation of autophagosomes and PI3KC3-C2 is involved in the maturation of autophagosomes and endocytosis. Beclin 1 also plays a role in antiviral host defense.
Specifications
| Beclin 1 | |
| Recombinant Monoclonal | |
| 1 mg/mL | |
| PBS with no preservative | |
| O88597, Q14457, Q91XJ1 | |
| BECN1 | |
| Synthetic peptide of human Beclin 1. | |
| 100 μL | |
| Primary | |
| Human, Mouse, Rat | |
| Antibody | |
| IgG |
| Immunohistochemistry (Paraffin), Western Blot, Immunocytochemistry | |
| HL3130 | |
| Unconjugated | |
| BECN1 | |
| 4921513J16Rik; 5430417M23Rik; APG6; Atg6; ATG6 autophagy related 6 homolog; Bcl-2-interacting protein beclin; beclin 1; beclin 1 (coiled-coil, moesin-like BCL2-interacting protein); beclin 1 (coiled-coil, myosin-like BCL2 interacting protein); beclin 1 (coiled-coil, myosin-like BCL2-interacting protein); beclin 1, autophagy related; beclin1; beclin-1; Beclin-1; beclin-1; Beclin-1-C 35 kDa; Beclin-1-C 37 kDa; becn1; Coiled-coil myosin-like BCL2-interacting protein; coiled-coil, myosin-like BCL2-interacting protein; GT197; hypothetical protein MGC73097; myosin-like BCL2 interacting protein; Protein GT197; testis secretory sperm-binding protein Li 215e; VPS30; zgc:73097 | |
| Rabbit | |
| Protein A | |
| RUO | |
| 114558, 56208, 8678 | |
| -20°C, Avoid Freeze/Thaw Cycles | |
| Liquid |
Correction du contenu d'un produit
Veuillez fournir vos retours sur le contenu du produit en remplissant le formulaire ci-dessous.
Nom du produit
Vous avez repéré une opportunité d'amélioration ?Partager une correction de contenu