missing translation for 'onlineSavingsMsg'
Learn More
Learn More
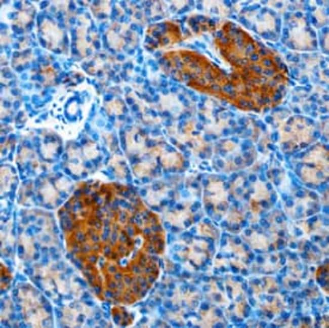
Invitrogen™ betacellulin Monoclonal Antibody (34301)

Mouse Monoclonal Antibody
Brand: Invitrogen™ MA561188
This item is not returnable.
View return policy
Description
Reconstitute at 0.5 mg/mL in sterile PBS.
The protein encoded by this gene is a member of the EGF family of growth factors. It is synthesized primarily as a transmembrane precursor, which is then processed to mature molecule by proteolytic events. This protein is a ligand for the EGF receptor.
Specifications
| betacellulin | |
| Monoclonal | |
| 0.5 mg/mL | |
| PBS with trehalose and no preservative | |
| P35070 | |
| BTC | |
| E. coli-derived recombinant human Betacellulin/BTC, Asp32-Tyr111. | |
| 500 μg | |
| Primary | |
| Human | |
| Antibody | |
| IgG1 |
| Immunohistochemistry (Paraffin), Western Blot | |
| 34301 | |
| Unconjugated | |
| BTC | |
| Bcn; betacellulin; betacellulin, epidermal growth factor family member; BTC; OTTHUMP00000160600; OTTHUMP00000219057; Probetacellulin | |
| Mouse | |
| Protein A/G | |
| RUO | |
| 685 | |
| Store at 4°C short term. For long term storage, store at -20°C, avoiding freeze/thaw cycles. | |
| Lyophilized |
Product Content Correction
Your input is important to us. Please complete this form to provide feedback related to the content on this product.
Product Title
Spot an opportunity for improvement?Share a Content Correction