missing translation for 'onlineSavingsMsg'
Learn More
Learn More
Invitrogen™ CCR1 Recombinant Rabbit Monoclonal Antibody (HL3023)

Rabbit Recombinant Monoclonal Antibody
Brand: Invitrogen™ MA556626
This item is not returnable.
View return policy
Description
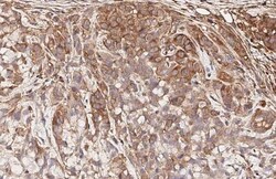
CCR1 Recombinant Monoclonal Antibody for Western Blot, IHC (P), ICC/IF
Chemokines play important roles in inflammation and are critical for the recruitment of effector immune cells to sites of infection. Chemokines activate leukocytes by binding to G protein coupled receptors. The ever-growing chemokine receptor subtypes can be divided into 2 major groups, CXCR and CCR, based on the 2 major classes of chemokines. One of the CCR receptors, CCR1, is expressed on neutrophils, monocytes, lymphocytes, and eosinophils and binds the leukocyte chemoattractant and hemopoiesis regulator macrophage-inflammatory protein (MIP-1 ), eotaxin, as well as several other related chemokines. Mice lacking the chemokine receptor CCR1 have defects in neutrophil trafficking and proliferation.
Specifications
| CCR1 | |
| Recombinant Monoclonal | |
| 1 mg/mL | |
| PBS with no preservative | |
| P32246, P51675 | |
| CCR1 | |
| Synthetic peptide encompassing a sequence within the Extracellular domain of human CCR1. The exact sequence is proprietary. | |
| 100 μL | |
| Primary | |
| Human, Mouse | |
| Antibody | |
| IgG |
| Immunohistochemistry (Paraffin), Western Blot, Immunocytochemistry | |
| HL3023 | |
| Unconjugated | |
| CCR1 | |
| C-C chemokine receptor type 1; C-C CKR-1; C-C motif chemokine receptor 1; CC-CKR-1; Ccr1; CCR-1; CD191; chemokine (C-C motif) receptor 1; chemokine (C-C) receptor 1; CKR1; CKR-1; CMKBR1; CMKR1; HM145; LD78 receptor; macrophage inflammatory protein 1-alpha receptor; macrophage inflammatory protein-1 alpha receptor; MIP-1 alpha R; MIP-1 alphaR; MIP-1alpha-R; MIP1aR; Mip-1a-R; RANTES receptor; RANTES-R; SCYAR1 | |
| Rabbit | |
| Protein A | |
| RUO | |
| 1230, 12768 | |
| -20°C, Avoid Freeze/Thaw Cycles | |
| Liquid |
Product Content Correction
Your input is important to us. Please complete this form to provide feedback related to the content on this product.
Product Title
Spot an opportunity for improvement?Share a Content Correction