missing translation for 'onlineSavingsMsg'
Learn More
Learn More
Invitrogen™ CD30 Recombinant Rabbit Monoclonal Antibody (PSH04-11)

Rabbit Recombinant Monoclonal Antibody
Brand: Invitrogen™ MA556421
This item is not returnable.
View return policy
Description
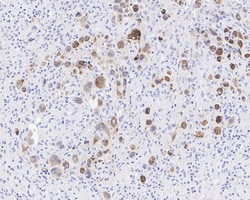
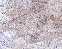
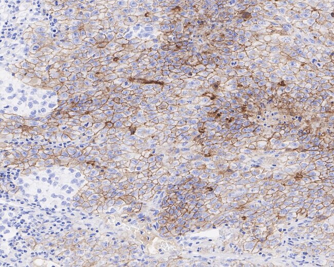
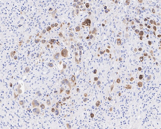
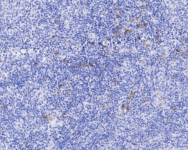
CD30 Recombinant Monoclonal Antibody for Western Blot, IHC (P), ICC/IF
CD30 (Ki-1, TNF Receptor Superfamily Member 8) is a type I transmembrane glycoprotein of the TNF receptor superfamily. CD30 was originally identified as a cell surface antigen of Hodgkins and Reed-Sternberg cells using monoclonal antibody Ki-1. The ligand for CD30 is CD30L (CD153). The binding of CD30 to CD30L mediates pleiotropic effects including cell proliferation, activation, differentiation, and apoptotic cell death. CD30 has a critical role in the pathophysiology of Hodgkin's disease and other CD30+ lymphomas. CD30 acts as a costimulatory molecule in thymic negative selection. In addition to its expression on Hodgkin's and Reed-Sternberg cells, CD30 is also found in some non-Hodgkin's lymphomas (including Burkitt's lymphomas), virus-infected T and B cells, and on normal T and B cells after activation. In T cells, CD30 expression is present on a subset of T cells that produce Th2-type cytokines and on CD4+/CD8+ thymocytes that co-express CD45RO and the IL4 receptor. Soluble form of CD30 (sCD30) serves as a marker reflecting Th2 immune response. TRAF2 and TRAF5 can interact with this receptor, and mediate the signal transduction that leads to the activation of NF-kappaB. CD30 is a positive regulator of apoptosis, and has been shown to limit the proliferative potential of autoreactive CD8 effector T cells and protect the body against autoimmunity. Two alternatively spliced transcript variants of this gene encoding distinct isoforms have been reported. CD30 is expressed by mononuclear cells in Hodgkin's lymphoma, Reed Sternberg cells and most Anaplastic Large Cell Lymphomas (ALCL). CD30 is also expressed by embryonal carcinomas.
Specifications
| CD30 | |
| Recombinant Monoclonal | |
| 1 mg/mL | |
| PBS with 0.1% BSA, 40% glycerol and 0.05% sodium azide; pH 7.4 | |
| P28908 | |
| TNFRSF8 | |
| Recombinant protein within human CD30 aa 1-385/595. | |
| 100 μL | |
| Primary | |
| Human | |
| Antibody | |
| IgG |
| Immunohistochemistry (Paraffin), Western Blot, Immunocytochemistry | |
| PSH04-11 | |
| Unconjugated | |
| TNFRSF8 | |
| Ber-H2; Cd30; CD30 antigen; CD30 molecule; CD30L receptor; cytokine receptor CD30; D1S166E; Ki; Ki-1; Ki-1 antigen; Lymphocyte activation antigen CD30; sCD30; soluble CD30; TNF receptor superfamily member 8; TNFRSF8; Tumor necrosis factor receptor superfamily member 8; tumor necrosis factor receptor superfamily, member 8; Tumor necrosis factor superfamily member 8; tumor necrosis factor superfamily, member CD30 | |
| Rabbit | |
| Protein A | |
| RUO | |
| 943 | |
| Store at 4°C short term. For long term storage, store at -20°C, avoiding freeze/thaw cycles. | |
| Liquid |
Product Content Correction
Your input is important to us. Please complete this form to provide feedback related to the content on this product.
Product Title
Spot an opportunity for improvement?Share a Content Correction