missing translation for 'onlineSavingsMsg'
Learn More
Learn More
Invitrogen™ CD39 Recombinant Human Monoclonal Antibody (5D3)

Human Recombinant Monoclonal Antibody
Brand: Invitrogen™ MA560755
This item is not returnable.
View return policy
Description
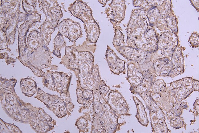
CD39 Recombinant Monoclonal Antibody for IHC (P), ELISA
CD39 is an integral membrane protein characterized by two transmembrane domains and forms a homotetramer structure. It is recognized as the most prominent ectoenzyme within the immune system, primarily functioning to remove toxic extracellular ATP by converting it into ADP or AMP. CD39 works in conjunction with CD73 to hydrolyze ATP and is well characterized on Langerhans cells. Originally identified on activated lymphocytes, CD39 is expressed on a variety of immune cells, including peripheral blood B cells, monocytes, and T cell clones. It is also found on a subset of T cells, B cells, and dendritic cells, with weaker expression observed on monocytes and granulocytes. The CD39 cell surface antigen is a 70-100kD molecule, and its expression is induced on T cells and increases on B cells as a late activation antigen. CD39 possesses intrinsic ecto-ATPase activity, playing a crucial role in modulating extracellular nucleotide levels and contributing to immune regulation.
Specifications
| CD39 | |
| Recombinant Monoclonal | |
| 2.98 mg/mL | |
| PBS with 50% glycerol and 0.03% ProClin 300; pH 7.4 | |
| P49961 | |
| ENTPD1 | |
| Recombinant Human ENTPD1 protein. | |
| 100 μL | |
| Primary | |
| Human | |
| Antibody | |
| IgG1 |
| ELISA, Immunohistochemistry (Paraffin) | |
| 5D3 | |
| Unconjugated | |
| ENTPD1 | |
| 2610206B08Rik; AA408691; ATPDase; Cd39; CD39 antigen; DKFZp686D194; DKFZp686I093; ecto-apyrase; Ecto-ATP diphosphohydrolase 1; ecto-ATPase 1; ecto-ATPDase 1; Ectonucleoside triphosphate diphosphohydrolase 1; ENTPD1; FLJ40921; FLJ40959; Lymphoid cell activation antigen; NTPDase 1; NTPDase-1; SPG64 | |
| Human | |
| Affinity chromatography | |
| RUO | |
| 953 | |
| -20°C or -80°C if preferred | |
| Liquid |
Product Content Correction
Your input is important to us. Please complete this form to provide feedback related to the content on this product.
Product Title
Spot an opportunity for improvement?Share a Content Correction