missing translation for 'onlineSavingsMsg'
Learn More
Learn More
Invitrogen™ HTRA1 Recombinant Human Monoclonal Antibody (29C11)

Human Recombinant Monoclonal Antibody
Brand: Invitrogen™ MA560815
This item is not returnable.
View return policy
Description
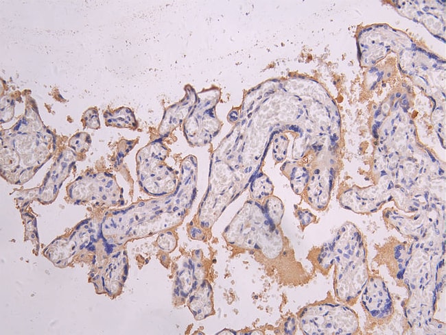
HTRA1 Recombinant Monoclonal Antibody for IHC (P), ELISA
HtrA1, a 51KDa protein, is a member of highly conserved mammalian HtrA serine protease family. It is a human homolog of bacterial HtrA and consists of a secretory signal sequence, an IGFBP-binding domain and a Kazal-type serine-protease inhibitor domain at the N-terminus and a highly conserved trypsin-like serine/protease domain and a PDZ domain at the C-terminus. It plays a major role in the regulation of cell growth. HtrA1 inhibits signaling mediated by TGF-beta family members and regulates many physiological processes. HtrA1 is up-regulated in placenta during pregnancy and plays an important role in implantation and placental physiology. It regulates the availability of IGFs by cleaving IGF-binding proteins. It acts as a tumor suppressor and is down-regulated in ovarian cancers and melanomas. Its role has been implicated in osteoarthritis suggesting a therapeutic intervention. Northern blot analysis detected high expression in placenta.
Specifications
| HTRA1 | |
| Recombinant Monoclonal | |
| 3 mg/mL | |
| PBS with 50% glycerol and 0.03% ProClin 300; pH 7.4 | |
| Q92743 | |
| HTRA1 | |
| Recombinant Human HTRA1 protein. | |
| 100 μL | |
| Primary | |
| Human | |
| Antibody | |
| IgG1 |
| ELISA, Immunohistochemistry (Paraffin) | |
| 29C11 | |
| Unconjugated | |
| HTRA1 | |
| AI429470; ARMD7; CADASIL2; CARASIL; High-temperature requirement A serine peptidase 1; HTRA; HtrA serine peptidase 1; Htra1; IGF binding; IGFBP5-protease; insulin-like growth factor binding protein 5 protease; L56; ORF480; protease serine 11; protease, serine, 11; protease, serine, 11 (IGF binding); PRSS11; RSPP11; serine protease; serine protease 11; Serine protease HTRA1; similar to bacterial htrA and degP | |
| Human | |
| Affinity chromatography | |
| RUO | |
| 5654 | |
| -20°C or -80°C if preferred | |
| Liquid |
Product Content Correction
Your input is important to us. Please complete this form to provide feedback related to the content on this product.
Product Title
Spot an opportunity for improvement?Share a Content Correction