missing translation for 'onlineSavingsMsg'
Learn More

Invitrogen™ CDK4 Monoclonal Antibody (24GB2800)

Mouse Monoclonal Antibody

Brand:  Invitrogen™ MA557370

 View more versions of this product

Product Code. 30275852

  • 198.00 € / 20µL

Please to purchase this item. Need a web account? Register with us today!

This item is not returnable. View return policy

Description

Description

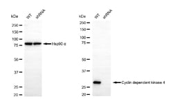
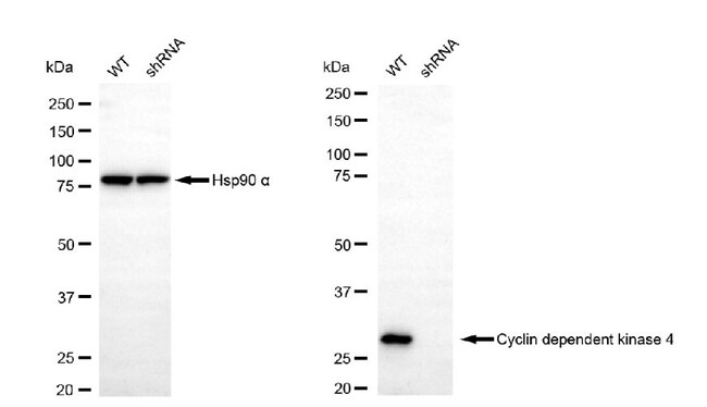
CDK4 Monoclonal Antibody for Western Blot, ICC/IF

CDK4/cyclin D3 serine/threonine kinase is dimeric protein complex. CDK4 is a member of the cyclin-dependent protein kinase family and is involved in the control of cell proliferation during the G1 phase of cell cycle. CDK4 forms a complex with the D-type cyclins and is inhibited by p16 (cyclin-dependent kinase inhibitor-2). CDK4 can mediate phosphorylation of the C-terminal region of Rb protein leading to an active transcriptional repression of E2F complex. CDC37 and HSP90 can preferentially associate with the fraction of CDK4 not bound to D-type cyclins. SMAD3 is a major physiologic substrate of the G1 cyclin-dependent kinases CDK4 and CDK2. Although CDK6 and CDK4 can both phosphorylate multiple residues in the Rb protein, they do so with different residue selectivity in vitro; CDK6 phosphorylates Thr821 while CDK4 phosphorylates Thr826 on Rb protein.
TRUSTED_SUSTAINABILITY
Specifications

Specifications

CDK4
Monoclonal
0.5 mg/mL
PBS with 50% glycerol and 0.02% sodium azide; pH 7.4
P11802, P30285, P35426
Cdk4
Recombinant protein of human CDK4 (aa 1-303).
20 μL
Primary
Human, Mouse, Rat
Antibody
IgG2a κ
Western Blot, Immunocytochemistry
24GB2800
Unconjugated
Cdk4
Cdk4; Cell division protein kinase 4; CMM3; Crk3; cyclin dependent kinase 4; cyclin-dependent kinase 4; MGC14458; p34>PSK-J3>/cdk4; PSK-J3; serine/threonine kinase; Unknown (protein for MGC:133903)
Mouse
Affinity chromatography
RUO
1019, 12567, 94201
-20°C
Liquid
Product Suggestions

Product Suggestions

Videos
SDS
Documents

Documents

Certificates
Promotions

Promotions

Product Content Correction

Your input is important to us. Please complete this form to provide feedback related to the content on this product.

Product Title

By clicking Submit, you acknowledge that you may be contacted by Fisher Scientific in regards to the feedback you have provided in this form. We will not share your information for any other purposes. All contact information provided shall also be maintained in accordance with our Privacy Policy.

Thank You! Your feedback has been submitted. Fisher Scientific is always working to improve our content for you. We appreciate your feedback.