missing translation for 'onlineSavingsMsg'
Learn More
Learn More
Invitrogen™ CHD4 Recombinant Rabbit Monoclonal Antibody (HL1798)

Rabbit Recombinant Monoclonal Antibody
Brand: Invitrogen™ MA556643
This item is not returnable.
View return policy
Description
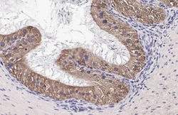
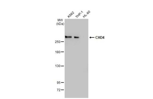
CHD4 Recombinant Monoclonal Antibody for Western Blot, IHC (P)
The product of this gene belongs to the SNF2/RAD54 helicase family. It represents the main component of the nucleosome remodeling and deacetylase complex and plays an important role in epigenetic transcriptional repression. Patients with dermatomyositis develop antibodies against this protein.
Specifications
| CHD4 | |
| Recombinant Monoclonal | |
| 1 mg/mL | |
| PBS with no preservative | |
| Q14839, Q6PDQ2 | |
| CHD4 | |
| Recombinant fragment of Human CHD4. | |
| 100 μL | |
| Primary | |
| Human, Mouse | |
| Antibody | |
| IgG |
| Immunohistochemistry (Paraffin), Western Blot | |
| HL1798 | |
| Unconjugated | |
| CHD4 | |
| 9530019N15Rik; AA617397; ATP-dependent helicase CHD4; BC005710; Chd4; CHD-4; chromodomain helicase DNA binding protein 4; chromodomain-helicase-DNA-binding protein 4; D6Ertd380e; Mi-2; Mi-2 autoantigen; Mi-2 autoantigen 218 kDa protein; Mi-2 beta; MI2B; Mi-2b; Mi-2beta; Mi2-BETA; mKIAA4075 | |
| Rabbit | |
| Protein A | |
| RUO | |
| 107932, 1108 | |
| -20°C, Avoid Freeze/Thaw Cycles | |
| Liquid |
Product Content Correction
Your input is important to us. Please complete this form to provide feedback related to the content on this product.
Product Title
Spot an opportunity for improvement?Share a Content Correction