missing translation for 'onlineSavingsMsg'
Learn More
Learn More
Description
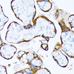
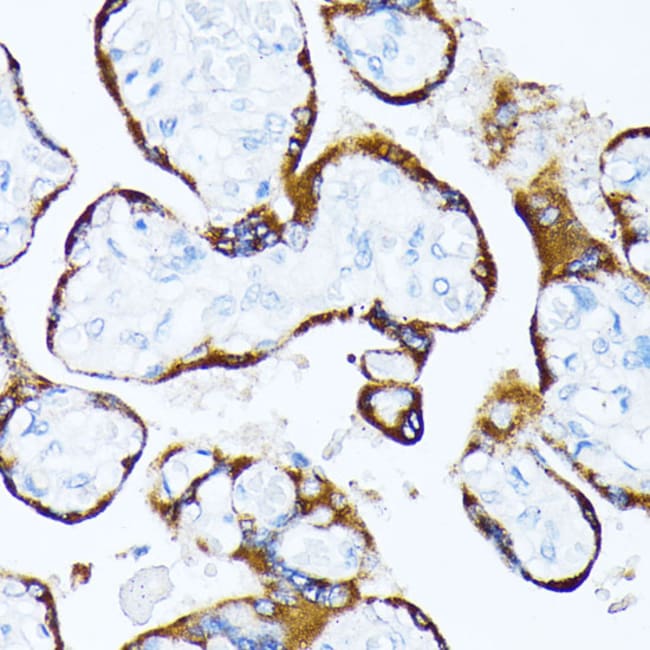
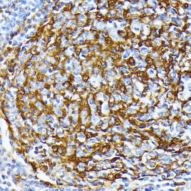
Positive Samples: U-87MG, HeLa, MCF7, PC-3, Mouse brain Immunogen sequence: EKKMSTPVEV LCKGFPAEFA MYLNYCRGLR FEEAPDYMYL RQLFRILFRT LNHQYDYTFD WTMLKQKAAQ QAASSSGQGQ QAQTPTGKQT DKTKSNMKGF.
CNSK1A1 (CK1 alpha 1) is a member of the casein kinase I (CKI) gene family, which encodes serine/threonine kinases that preferentially phosphorylate acidic substrates. CKI proteins are monomeric, ranging from 25 to 55 kD, and are found in the nuclei, cytoplasm, and membrane fractions of eukaryotic cells. It can phosphorylate a large number of proteins. Participates in Wnt signaling. Phosphorylates CTNNB1 at 'Ser-45'. May phosphorylate PER1 and PER2. May play a role in segregating chromosomes during mitosis.
Specifications
Specifications
| Antigen | CK1 alpha |
| Applications | ELISA, Immunohistochemistry (Paraffin), Western Blot, Immunocytochemistry |
| Classification | Polyclonal |
| Concentration | 1.55 mg/mL |
| Conjugate | Unconjugated |
| Formulation | PBS with 50% glycerol and 0.01% thimerosal; pH 7.3 |
| Gene | CSNK1A1 |
| Gene Accession No. | P48729, P97633, Q8BK63 |
| Gene Alias | 2610208K14Rik; 4632404G05Rik; 5430427P18Rik; casein kinase 1 alpha 1; casein kinase 1 alpha 1 like; casein kinase 1 alpha 1 S homeolog; casein kinase 1 alpha 1 S homeolog; casein kinase 1, alpha 1; casein kinase 1 alpha isoform; casein kinase 1, alpha 1; casein kinase 1alpha S; casein kinase 1-alphaL; casein kinase 1-alphaLS; casein kinase I; casein kinase I alpha; casein kinase I alpha L isoform; casein kinase I alpha LS; casein kinase I alpha S; Casein kinase I isoform alpha; casein kinase I isoform alpha; casein kinase I; casein kinase I-alpha; CHUNP6894; CK I alpha; CK1; ck1 alpha; CK1a; ck1alpha; CK1alphaS; CKI alpha; CK-I alpha; CKIa; CKI-alpha; clock regulator kinase; Csnk1a; csnk1a1; CSNK1A1 protein; csnk1a1.S; CSNK1A1/CK1; CSNK1A1L; down-regulated in lung cancer; epididymis secretory sperm binding protein Li 77p; HEL-S-77p; HLCDGP1; OTTHUMP00000224000; OTTHUMP00000224001; OTTHUMP00000224003; PRO2975; protein kinase; sb:eu866; wu:fb65a02; wu:fi30h04; wu:fj19c11; XELAEV_18021437mg; YIL035C; zgc:92158 |
| Gene Symbols | CSNK1A1 |
| Show More |
Product Title
By clicking Submit, you acknowledge that you may be contacted by Fisher Scientific in regards to the feedback you have provided in this form. We will not share your information for any other purposes. All contact information provided shall also be maintained in accordance with our Privacy Policy.
Spot an opportunity for improvement?
