missing translation for 'onlineSavingsMsg'
Learn More

Collagen VI alpha 1 Antibody, Novus Biologicals™

Rabbit Polyclonal Antibody has been used in 12 publications

Brand:  Novus Biologicals NB120-6588SS

 View more versions of this product

Product Code. 18075356

  • 242.00 € / 25µg

Please to purchase this item. Need a web account? Register with us today!

This item is not returnable. View return policy

Description

Description

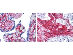
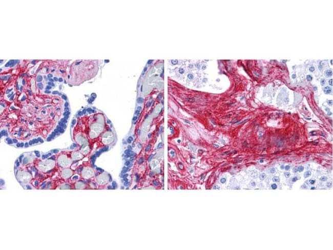
Collagen VI alpha 1 Polyclonal specifically detects Collagen VI alpha 1 in Human, Mouse, Rat, Bovine, Feline samples. It is validated for Western Blot, Flow Cytometry, ELISA, Immunohistochemistry, Immunocytochemistry/Immunofluorescence, Immunoprecipitation, Immunohistochemistry-Paraffin, Immunohistochemistry-Frozen, PCR.
TRUSTED_SUSTAINABILITY
Specifications

Specifications

Collagen VI
Polyclonal
Unconjugated
0.02 M Potassium Phosphate, 0.15 M Sodium Chloride, pH 7.2 with 0.01% Sodium Azide
Collagen 6, collagen alpha-1(VI) chain, collagen VI, alpha-1 polypeptide, collagen, type VI, alpha 1, Collagen-6, human mRNA for collagen VI alpha-1 C-terminal globular domain10alpha 1 (VI) chain (61 AA), OPLL
Rabbit
108.53 kDa
0.025 mg
Cytoskeleton Markers, Extracellular Matrix
1291
Human, Mouse, Rat, Bovine, Feline, Mammalia
IgG
Western Blot, Flow Cytometry, ELISA, Immunohistochemistry, Immunocytochemistry, Immunofluorescence, Immunoprecipitation
1 mg/ml
Western Blot 1:1000-1:10000, Flow Cytometry, ELISA 1:5000-1:50000, Immunohistochemistry 1:50-1:200, Immunocytochemistry/Immunofluorescence 1:10-1:500, Immunoprecipitation 1:100, Immunohistochemistry-Paraffin 1:50-1:200
P12109
COL6A1
Collagen VI alpha 1 from human and bovine placenta (Uniprot: P12109)
Affinity Purified
RUO
Primary
Some class-specific anti-collagens may be specific for three-dimensional epitopes which may result in diminished reactivity with denatured collagen or formalin-fixed, paraffin embedded tissues. This antibody reacts with most mammalian Collagen VI alpha 1 and has negligible cross-reactivity with Type I, II, III, IV or V collagens. Non-specific cross-reaction of anti-collagen antibodies with other human serum proteins or non-collagen extracellular matrix proteins is negligible.
Store at 4°C short term. For extended storage, add an equal volume of glycerol, aliquot and store at -20°C or below. Avoid repeated freeze-thaw cycles.
Product Suggestions

Product Suggestions

Videos
SDS
Documents

Documents

Certificates
Promotions

Promotions

Product Content Correction

Your input is important to us. Please complete this form to provide feedback related to the content on this product.

Product Title

By clicking Submit, you acknowledge that you may be contacted by Fisher Scientific in regards to the feedback you have provided in this form. We will not share your information for any other purposes. All contact information provided shall also be maintained in accordance with our Privacy Policy.

Thank You! Your feedback has been submitted. Fisher Scientific is always working to improve our content for you. We appreciate your feedback.