missing translation for 'onlineSavingsMsg'
Learn More

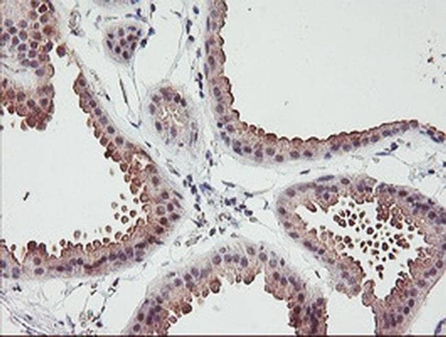
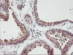
ERCC1 Monoclonal Antibody (OTI5A2), TrueMAB™, OriGene

Product Code. 17531582
Encompass_Preferred
Change view
Click to view available options
Quantity:
30 μL
100 μL
Unit Size:
100µL
30µL
2 product options available for selection
Product selection table with 2 available options. Use arrow keys to navigate and Enter or Space to select.
Product Code. Quantity unitSize
17531582 100 μL 100µL
17551582 30 μL 30µL
Use arrow keys to navigate between rows. Press Enter or Space to select a product option. 2 options available.
2 options
This item is not returnable. View return policy
Product Code. 17531582 Supplier Origene Technologies Supplier No. TA504405

Please to purchase this item. Need a web account? Register with us today!

This item requires a price update prior to being ordered.

Request a Price for this item here.

This item is not returnable. View return policy

Mouse Monoclonal Antibody

The mammalian ERCC1 (Excision Repair Cross Complementing) polypeptide is required for nucleotide excision repair (NER) of damaged DNA and is homologous to Saccharomyces cerevisiae RAD10, which functions in repair and mitotic intrachromosomal recombination. NER mechanism involves dual incisions on both sides of the damage catalyzed by two nucleases. In mammalian cells XPG cleaves 3′ of the DNA lesion while the ERCC1-XPF complex makes the 5′ incision.

Specifications

Antigen ERCC1
Applications Flow Cytometry, Immunocytochemistry, Immunofluorescence, Immunohistochemistry (Paraffin), Western Blot
Classification Monoclonal
Clone OTI5A2
Concentration 0.64 mg/mL
Conjugate Unconjugated
Formulation PBS with 1% BSA, 50% glycerol and 0.02% sodium azide
Gene ERCC1
Gene Accession No. P07992
Gene Alias COFS4, RAD10, UV20
Gene Symbols ERCC1
Host Species Mouse
Immunogen Full length human recombit protein of human ERCC1 produced in HEK293T cell.
Purification Method Affinity Chromatography
Quantity 100 μL
Regulatory Status RUO
Primary or Secondary Primary
Gene ID (Entrez) 2067
Target Species Human
Content And Storage -20° C, Avoid Freeze/Thaw Cycles
Product Type Antibody
Form Liquid
Isotype IgG1
Show More Show Less
Product Title
Select an issue

By clicking Submit, you acknowledge that you may be contacted by Fisher Scientific in regards to the feedback you have provided in this form. We will not share your information for any other purposes. All contact information provided shall also be maintained in accordance with our Privacy Policy.