missing translation for 'onlineSavingsMsg'
Learn More
Learn More
Description
Immunogen sequence: DASEEDPTWA GEEEGADSGE EDGADASEED DTITNEKAHS ILNFLKSTQE MYFYDGVSRD AASAALADAA EELLDRLASH SMLPSDVSIL YHMKTLLLLQ DTERLKHALE MFPEHCTMPP DHARVISAFF SYWITH Highest antigen sequence identity to the following orthologs: Mouse - 59%, Rat - 57%.
The function of this protein remains unknown.
Specifications
Specifications
| Antigen | ERICH1 |
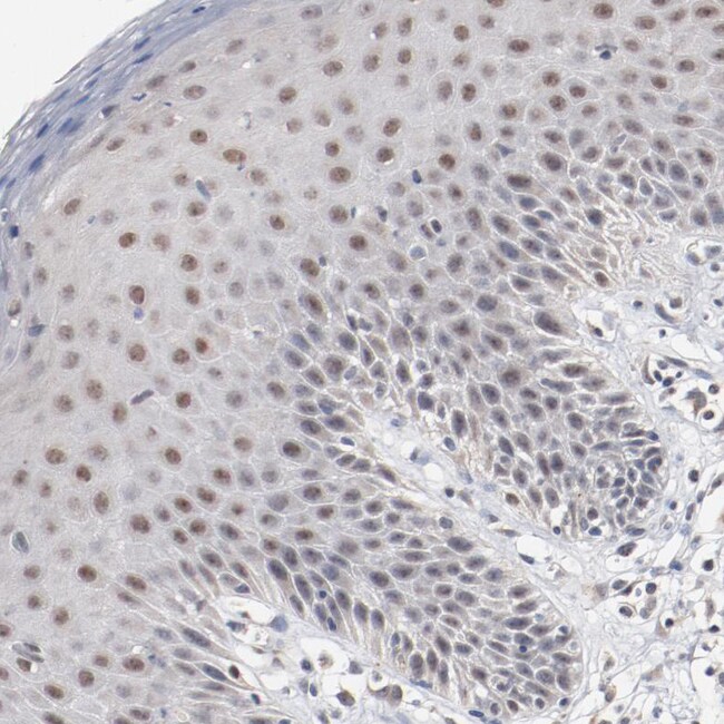
| Applications | Immunohistochemistry (Paraffin), Western Blot, Immunocytochemistry |
| Classification | Polyclonal |
| Concentration | 0.1 mg/mL |
| Conjugate | Unconjugated |
| Formulation | PBS with 40% glycerol and 0.02% sodium azide; pH 7.2 |
| Gene | ERICH1 |
| Gene Accession No. | Q86X53 |
| Gene Alias | ERICH1; glutamate rich 1; glutamate-rich 1; glutamate-rich protein 1; HSPC319 |
| Gene Symbols | ERICH1 |
| Show More |
Product Title
By clicking Submit, you acknowledge that you may be contacted by Fisher Scientific in regards to the feedback you have provided in this form. We will not share your information for any other purposes. All contact information provided shall also be maintained in accordance with our Privacy Policy.
Spot an opportunity for improvement?
