missing translation for 'onlineSavingsMsg'
Learn More

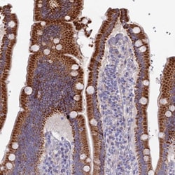
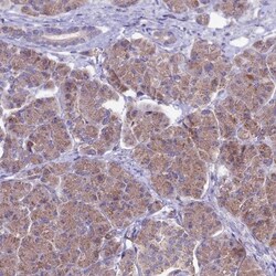
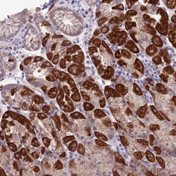
ETFDH Antibody, Novus Biologicals™

Rabbit Polyclonal Antibody

433.00 € - 624.00 €

Specifications

Antigen ETFDH
Dilution Western Blot 0.4 ug/ml, Immunohistochemistry 1:50 - 1:200, Immunohistochemistry-Paraffin 1:50 - 1:200
Applications Western Blot, Immunohistochemistry, Immunohistochemistry (Paraffin)
Classification Polyclonal
Conjugate Unconjugated
Se fler specifikationer

Produkter 2
Produktkod Brand Quantity Pris Kvantitet och tillgänglighet  
Produktkod Brand Quantity Pris Kvantitet och tillgänglighet  
18456030
Visa dokument
Novus Biologicals
NBP1-83950-25ul
25 μL
433.00 €
25µL
Se alternativa produkter
Spara upp till 
»
Please to purchase this item. Need a web account? Register with us today!
18292608
Visa dokument
Novus Biologicals
NBP1-83950
0.1 mL
624.00 €
0.10mL
Se alternativa produkter
Spara upp till 
»
Please to purchase this item. Need a web account? Register with us today!
Beskrivning

Beskrivning

ETFDH Polyclonal specifically detects ETFDH in Human samples. It is validated for Western Blot, Immunohistochemistry, Immunohistochemistry-Paraffin.
Specifikationer

Specifikationer

ETFDH
Western Blot, Immunohistochemistry, Immunohistochemistry (Paraffin)
Unconjugated
RUO
PBS (pH 7.2) and 40% Glycerol with 0.02% Sodium Azide
2110
This antibody was developed against Recombinant Protein corresponding to amino acids:LAVAHEKDIRVCLVEKAAQIGAHTLSGACLDPGAFKELFPDWKEKGAPLNTPVTEDRFGILTEKYRIPVPILPGLPMN
Primary
Store at 4C short term. Aliquot and store at -20C long term. Avoid freeze-thaw cycles.
Western Blot 0.4 ug/ml, Immunohistochemistry 1:50 - 1:200, Immunohistochemistry-Paraffin 1:50 - 1:200
Polyclonal
Rabbit
Human
electron-transferring-flavoprotein dehydrogenaseEC 1.5.5.1, ETFQO, ETF-QO, MADD, mitochondrial
ETFDH
IgG
Affinity Purified
Specificity of antibody verified on a Protein Array containing target protein plus 383 other non-specific proteins.
Filmer
SDS
Dokument

Dokument

Produktspecifikationer

For Research Use Only

Korrigering av produktinnehåll

Din input är viktig för oss. Fyll i det här formuläret för att ge feedback relaterad till innehållet på denna produkt.

Produkttitel

Genom att klicka på Skicka bekräftar du att du kan bli kontaktad av Fisher Scientific angående feedbacken du har lämnat i detta formulär. Vi kommer inte att dela din information för andra ändamål. All kontaktinformation som tillhandahålls ska också underhållas i enlighet med vår Sekretesspolicy.

Tack! Din feedback har skickats. Fisher Scientific arbetar alltid för att förbättra vårt innehåll åt dig. Vi uppskattar din feedback.