missing translation for 'onlineSavingsMsg'
Learn More

Filamin A Antibody (3B6-1D10), Novus Biologicals™

Mouse Monoclonal Antibody

Brand:  Novus Biologicals H00002316-M02

Product Code. 18358227

  • 595.00 € / 0.01mg

Please to purchase this item. Need a web account? Register with us today!

This item is not returnable. View return policy

Description

Description

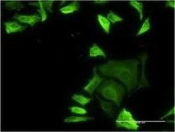
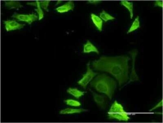
Filamin A Monoclonal antibody specifically detects Filamin A in Human samples. It is validated for Western Blot, ELISA, Immunocytochemistry/ Immunofluorescence, ELISA
TRUSTED_SUSTAINABILITY
Specifications

Specifications

Filamin A
Monoclonal
Unconjugated
AAH14654
Mouse
IgG purified
RUO
Primary
Human
Purified
Western Blot, ELISA, Immunocytochemistry, Sandwich ELISA
3B6-1D10
In 1x PBS, pH 7.4
ABP-280DKFZp434P031, ABPX, actin binding protein 280, Actin-binding protein 280, Alpha-filamin, CVD1, EC 2.1.1.43, EC 6.3.4.4, Endothelial actin-binding protein, filamin A, alpha, filamin A, alpha (actin binding protein 280), Filamin-1, filamin-A, FLN, FLN1OPD, FLN-A, FMD, MNS, NHBP, Non-muscle filamin, OPD1, OPD2, XLVD, XMVD
FLNA (AAH14654, 1 a.a. ~ 838 a.a) full-length recombinant protein with GST tag. MW of the GST tag alone is 26 KDa. MPSGKVAQPTITDNKDGTVTVRYAPSEAGLHEMDIRYDNMHIPGSPLQFYVDYVNCGHVTAYGPGLTHGVVNKPATFTVNTKDAGEGGLSLAIEGPSKAEISCTDNQDGTCSVSYLPVLPGDYSILVKYNEQHVPGSPFTARVTGDDSMRMSHLKVGSAADIPINISETDLSLLTATVVPPSGREEPCLLKRLRNGHVGISFVPKETGEHLVHVKKNGQHVASSPIPVVISQSEIGDASRVRVSGQGLHEGHTFEPAEFIIDTRDAGYGGLSLSIEGPSKVDINTEDLEDGTCRVTYCPTEPGNYIINIKFADQHVPGSPFSVKVTGEGRVKESITRRRRAPSVANVGSHCDLSLKIPEISIQDMTAQVTSPSGKTHEAEIVEGENHTYCIRFVPAEMGTHTVSVKYKGQHVPGSPFQFTVGPLGEGGAHKVRAGGPGLERAEAGVPAEFSIWTREAGAGGLAIAVEGPSKAEISFEDRKDGSCGVAYVVQEPGDYEVSVKFNEEHIPDSPFVVPVASPSGDARRLTVSSLQESGLKVNQPASFAVSLNGAKGAIDAKVHSPSGALEECYVTEIDQDKYAVRFIPRENGVYLIDVKFNGTHIPGSPFKIRVGEPGHGGDPGLVSAYGAGLEGGVTGNPAEFVVNTSNAGAGALSVTIDGPSKVKMDCQECPEGYRVTYTPMAPGSYLISIKYGGPYHIGGSPFKAKVTGPRLVSNHSLHETSSVFVDSLTKATCAPQHGAPGPGPADASKVVAKGLGLSKAYVGQKSSFTVDCSKAGNNMLLVGVHGPRTPCEEILVKHVGSRLYSVSYLLKDKGEYTLVVKWGDEHIPGSPYRVVVP
0.1 mg
Neuroscience
2316
Aliquot and store at -20°C or -80°C. Avoid freeze-thaw cycles.
IgG1 κ
Product Suggestions

Product Suggestions

Videos
SDS
Documents

Documents

Certificates
Promotions

Promotions

Product Content Correction

Your input is important to us. Please complete this form to provide feedback related to the content on this product.

Product Title

By clicking Submit, you acknowledge that you may be contacted by Fisher Scientific in regards to the feedback you have provided in this form. We will not share your information for any other purposes. All contact information provided shall also be maintained in accordance with our Privacy Policy.

Thank You! Your feedback has been submitted. Fisher Scientific is always working to improve our content for you. We appreciate your feedback.