missing translation for 'onlineSavingsMsg'
Learn More
Learn More
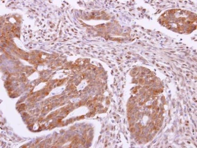
Invitrogen™ SH3GLB2 Polyclonal Antibody

Rabbit Polyclonal Antibody
Brand: Invitrogen™ PA531628
This item is not returnable.
View return policy
Description
Recommended positive controls: NT2D1, IMR32, MCF-7. Predicted reactivity: Mouse (96%), Rat (91%), Rhesus Monkey (100%), Bovine (94%). Store product as a concentrated solution. Centrifuge briefly prior to opening the vial.
SH3GLB2 (SH3 Domain Containing GRB2 Like, Endophilin B2) is a Protein Coding gene. Among its related pathways are Endocytosis. An important paralog of this gene is SH3GLB1. [GeneCards].
Specifications
| SH3GLB2 | |
| Polyclonal | |
| Unconjugated | |
| SH3GLB2 | |
| EMBL:AAH87652.1}; endophilin-B2; Kiaa1848; PP578; PP6569; PP9455; retinoid receptor-induced gene 1; RRIG1; SH3 domain containing GRB2 like endophilin B2; SH3 domain-containing GRB2-like protein B2; SH3-containing protein SH3GLB2; SH3-domain GRB2-like endophilin B2; Sh3glb2; sh3glb2 {ECO:0000312; SPAS-1; stimulator of prostatic adenocarcinoma-specific T-cells-1 | |
| Rabbit | |
| Antigen affinity chromatography | |
| RUO | |
| 56904 | |
| Store at 4°C short term. For long term storage, store at -20°C, avoiding freeze/thaw cycles. | |
| Liquid |
| Immunohistochemistry (Paraffin), Western Blot | |
| 0.98 mg/mL | |
| PBS with 1% BSA, 20% glycerol and 0.01% thimerosal; pH 7 | |
| Q9NR46 | |
| SH3GLB2 | |
| Recombinant protein encompassing a sequence within the center region of human SH3GLB2. The exact sequence is proprietary. | |
| 100 μL | |
| Primary | |
| Human | |
| Antibody | |
| IgG |
Product Content Correction
Your input is important to us. Please complete this form to provide feedback related to the content on this product.
Product Title
Spot an opportunity for improvement?Share a Content Correction