missing translation for 'onlineSavingsMsg'
Learn More

hnRNP A1 Antibody, Novus Biologicals™

Rabbit Polyclonal Antibody

Brand:  Novus Biologicals NBP2-97829-50ul

 View more versions of this product

Product Code. 18660612

  • 216.00 € / 50µL

Please to purchase this item. Need a web account? Register with us today!

This item is not returnable. View return policy

Description

Description

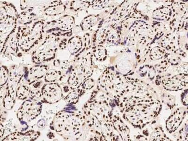
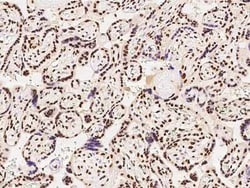
hnRNP A1 Polyclonal antibody specifically detects hnRNP A1 in Human samples. It is validated for Immunohistochemistry (Paraffin)
TRUSTED_SUSTAINABILITY
Specifications

Specifications

hnRNP A1
Polyclonal
Immunohistochemistry-Paraffin 1:50-1:200
Helix-destabilizing protein, heterogeneous nuclear ribonucleoprotein A1, heterogeneous nuclear ribonucleoprotein A1B protein, heterogeneous nuclear ribonucleoprotein B2 protein, heterogeneous nuclear ribonucleoprotein core protein A1, hnRNP A1, hnRNP core protein A1, hnRNPA1, hnRNP-A1, HNRPA1MGC102835, nuclear ribonucleoprotein particle A1 protein, single-strand DNA-binding protein UP1, Single-strand RNA-binding protein
Produced in rabbits immunized with E. coli-derived Human hnRNP A1 fragment.
50 μg
Core ESC Like Genes, Stem Cell Markers
3178
Store at 4°C short term. Aliquot and store at -20°C long term. Avoid freeze-thaw cycles.
IgG
Immunohistochemistry (Paraffin)
Unconjugated
PBS (pH 7.0)
Rabbit
Antigen and protein A Affinity-purified
RUO
Primary
Human
Purified
Product Suggestions

Product Suggestions

Videos
SDS
Documents

Documents

Certificates
Promotions

Promotions

Product Content Correction

Your input is important to us. Please complete this form to provide feedback related to the content on this product.

Product Title

By clicking Submit, you acknowledge that you may be contacted by Fisher Scientific in regards to the feedback you have provided in this form. We will not share your information for any other purposes. All contact information provided shall also be maintained in accordance with our Privacy Policy.

Thank You! Your feedback has been submitted. Fisher Scientific is always working to improve our content for you. We appreciate your feedback.