missing translation for 'onlineSavingsMsg'
Learn More

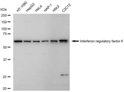
Invitrogen™ IRF6 Recombinant Rabbit Monoclonal Antibody (23GB6550), Invitrogen™

Rabbit Recombinant Monoclonal Antibody

Brand:  Invitrogen™ MA553065

 View more versions of this product

Product Code. 30089453

  • 186.00 € / 20µL

Please to purchase this item. Need a web account? Register with us today!

This item is not returnable. View return policy

Description

Description

This gene encodes a member of the interferon regulatory transcription factor (IRF) family. Family members share a highly-conserved N-terminal helix-turn-helix DNA-binding domain and a less conserved C-terminal protein-binding domain. Mutations in this gene can cause van der Woude syndrome and popliteal pterygium syndrome. This protein is involved in palate formation.
TRUSTED_SUSTAINABILITY
Specifications

Specifications

IRF6
Recombinant Monoclonal
Unconjugated
Irf6
AI876454; E230028I05Rik; interferon regulatory factor 6; IRF6; IRF-6; irf6 protein; IRF-6; transcription factor; LPS; mirf6; OFC6; PIT; PPS; PPS1; transcriptional factor; VWS; VWS1; zgc:63500
Rabbit
Affinity chromatography
RUO
364081, 3664, 54139
-20°C
Liquid
Flow Cytometry, Western Blot, Immunocytochemistry
23GB6550
PBS with 50% glycerol and 0.02% sodium azide; pH 7.4
O14896, P97431
Irf6
A synthesized peptide derived from human IRF6 (404-467AA).
20 μL
Primary
Human, Mouse, Rat
Antibody
IgG
Product Suggestions

Product Suggestions

Videos
SDS
Documents

Documents

Certificates
Promotions

Promotions

Product Content Correction

Your input is important to us. Please complete this form to provide feedback related to the content on this product.

Product Title

By clicking Submit, you acknowledge that you may be contacted by Fisher Scientific in regards to the feedback you have provided in this form. We will not share your information for any other purposes. All contact information provided shall also be maintained in accordance with our Privacy Policy.

Thank You! Your feedback has been submitted. Fisher Scientific is always working to improve our content for you. We appreciate your feedback.