missing translation for 'onlineSavingsMsg'
Learn More
Learn More
Invitrogen™ LSM4 Recombinant Rabbit Monoclonal Antibody (HL3172)

Rabbit Recombinant Monoclonal Antibody
Brand: Invitrogen™ MA556781
This item is not returnable.
View return policy
Description
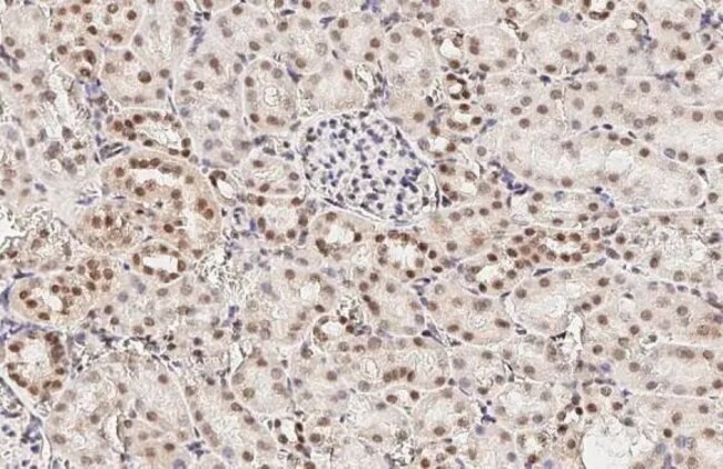
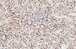
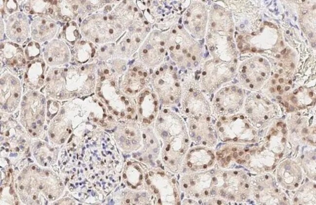
LSM4 Recombinant Monoclonal Antibody for Western Blot, ICC/IF, IHC (P)
Sm-like proteins were identified in a variety of organisms based on sequence homology with the Sm protein family (see SNRPD2). Sm-like proteins contain the Sm sequence motif, which consists of 2 regions separated by a linker of variable length that folds as a loop. The Sm-like proteins are thought to form a stable heteromer present in tri-snRNP particles, which are important for pre-mRNA splicing.
Specifications
| LSM4 | |
| Recombinant Monoclonal | |
| 1 mg/mL | |
| PBS with no preservative | |
| Q9QXA5, Q9Y4Z0 | |
| LSM4 | |
| Recombinant fragment of human LSM4. | |
| 100 μL | |
| Primary | |
| Human, Mouse, Rat | |
| Antibody | |
| IgG |
| Immunohistochemistry (Paraffin), Western Blot, Immunocytochemistry | |
| HL3172 | |
| Unconjugated | |
| LSM4 | |
| Glycine-rich protein; GRP; LSM4; LSM4 homolog, U6 small nuclear RNA and mRNA degradation associated; LSM4 homolog, U6 small nuclear RNA associated; LSM4 homolog, U6 small nuclear RNA associated (S. cerevisiae); LSM4 U6 small nuclear RNA and mRNA degradation associated; U6 snRNA-associated SM-like protein 4; U6 snRNA-associated Sm-like protein LSm4; YER112W | |
| Rabbit | |
| Protein A | |
| RUO | |
| 25804, 290647, 50783 | |
| -20°C, Avoid Freeze/Thaw Cycles | |
| Liquid |
Product Content Correction
Your input is important to us. Please complete this form to provide feedback related to the content on this product.
Product Title
Spot an opportunity for improvement?Share a Content Correction