missing translation for 'onlineSavingsMsg'
Learn More

KIF22, Mouse, Clone: 1E3, Abnova™

Product Code. 16010486
Change view
Click to view available options
Quantity:
100 μL
Unit Size:
100µL
1 product options available for selection
Product selection table with 1 available options. Use arrow keys to navigate and Enter or Space to select.
Product Code. Quantity unitSize
16010486 100 μL 100µL
Use arrow keys to navigate between rows. Press Enter or Space to select a product option. 1 options available.
1 options
This item is not returnable. View return policy
Product Code. 16010486 Supplier Abnova Supplier No. MAB10711.100uL

Please to purchase this item. Need a web account? Register with us today!

This item is not returnable. View return policy

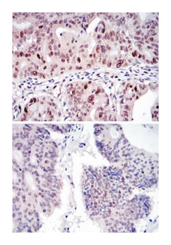
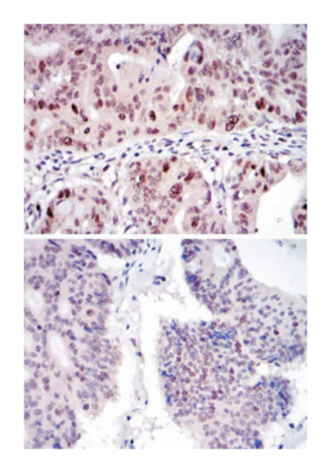
Mouse monoclonal antibody raised against partial recombinant KIF22.

The protein encoded by this gene is a member of kinesin-like protein family. This family of proteins are microtubule-dependent molecular motors that transport organelles within cells and move chromosomes during cell division. The C-terminal half of this protein has been shown to bind DNA. Studies with the Xenopus homolog suggests its essential role in metaphase chromosome alignment and maintenance. [provided by RefSeq

Specifications

Antigen KIF22
Applications ELISA, Flow Cytometry, Immunohistochemistry, Western Blot
Classification Monoclonal
Clone 1E3
Conjugate Unconjugated
Description Mouse monoclonal antibody raised against partial recombinant KIF22.
Dilution ELISA (1:10000) Western Blot (1:500-1:2000) Immunohistochemistry (1:200-1:1000) Flow cytometry (1:200-1:400) The optimal working dilution should be determined by the end user.
Formulation In ascites (0.03% sodium azide)
Gene KIF22
Gene Alias KID/KNSL4/OBP/OBP-1/OBP-2
Gene Symbols KIF22
Host Species Mouse
Immunogen Recombinant protein corresponding to human KIF22.
Quantity 100 μL
Regulatory Status RUO
Primary or Secondary Primary
Gene ID (Entrez) 3835
Target Species Human
Content And Storage Store at 4°C. For long term storage store at -20°C.
Aliquot to avoid repeated freezing and thawing.
Form Liquid
Isotype IgG1
Show More Show Less
Product Title
Select an issue

By clicking Submit, you acknowledge that you may be contacted by Fisher Scientific in regards to the feedback you have provided in this form. We will not share your information for any other purposes. All contact information provided shall also be maintained in accordance with our Privacy Policy.