missing translation for 'onlineSavingsMsg'
Learn More

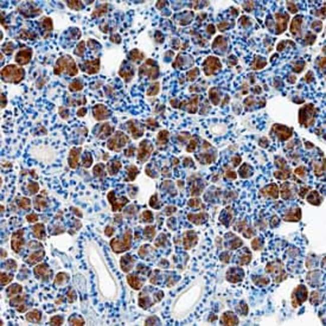
Invitrogen™ Mucin 19 Monoclonal Antibody (876013)
GREENER_CHOICE

Mouse Monoclonal Antibody

Brand:  Invitrogen™ MA561931

Product Code. 30535820

  • 469.00 € / 100µg

Please to purchase this item. Need a web account? Register with us today!

This item is not returnable. View return policy

Description

Description

Mucin 19 Monoclonal Antibody for IHC (P)

This gene encodes a member of the gel-forming mucin protein family. Mucin family members are glycoproteins that have tandem repeats which are extensively O-glycosylated. The structural features of mucin proteins are responsible for the gel-like properties of mucus. The encoded protein may be involved in disruption of the ocular surface in Sjogren syndrome. [provided by RefSeq, Apr 2014].
TRUSTED_SUSTAINABILITY
Specifications

Specifications

Mucin 19
Monoclonal
0.5 mg/mL
PBS with no preservative
Q7Z5P9
Mouse
Protein A/G
RUO
283463
Store at 4°C short term. For long term storage, store at -20°C, avoiding freeze/thaw cycles.
Lyophilized
Immunohistochemistry (Paraffin)
876013
Unconjugated
MUC19
MUC19
E. coli-derived recombinant human MUC-19, Lys5606-Gly5767.
100 μg
Primary
Human
Antibody
IgG1
Product Suggestions

Product Suggestions

Videos
SDS
Documents

Documents

Certificates
Promotions

Promotions

Product Content Correction

Your input is important to us. Please complete this form to provide feedback related to the content on this product.

Product Title

By clicking Submit, you acknowledge that you may be contacted by Fisher Scientific in regards to the feedback you have provided in this form. We will not share your information for any other purposes. All contact information provided shall also be maintained in accordance with our Privacy Policy.

Thank You! Your feedback has been submitted. Fisher Scientific is always working to improve our content for you. We appreciate your feedback.