Learn More
Invitrogen™ MULT1 (NKG2D Ligand) Polyclonal Antibody

Rabbit Polyclonal Antibody
Brand: Invitrogen™ PA587934
Description
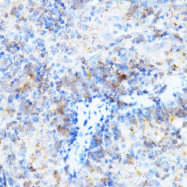
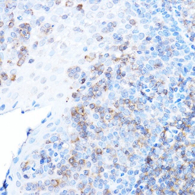
Immunogen sequence: GWVDTHCLCY DFIITPKSRP EPQWCEVQGL VDERPFLHYD CVNHKAKAFA SLGKKVNVTK TWEEQTETLR DVVDFLKGQL LDIQVENLIP IEPLTLQARM SCEHEAHGHG RGSWQFLFNG QKFLLFDSNN RKWTALHPGA KKMTEKWEKN RDVTMFFQKI SLGDCKMWLE EFLMYWEQML DPTKPPSLAP G; Positive Samples: Raji; Cellular Location: Cell membrane, Endoplasmic reticulum, GPI-anchor, Lipid-anchor.
ULBP1 is the ligand for the NKG2D receptor, together with at least ULBP2 and ULBP3. ULBPs activate multiple signaling pathways in primary NK cells, resulting in the production of cytokines and chemokines. Binding of ULBPs ligands to NKG2D induces calcium mobilization and activation of the JAK2, STAT5, ERK and PI3K kinase/Akt signal transduction pathway. In CMV infected cells, interacts with soluble CMV glycoprotein UL16. The interaction with UL16 blocked the interaction with the NKG2D receptor, providing a mechanism by which CMV infected cells might escape the immune system. UL16 also causes ULBP1 to be retained in the ER and cis-Golgi apparatus so that it does not reach the cell surface.
Specifications
| MULT1 (NKG2D Ligand) | |
| Polyclonal | |
| Unconjugated | |
| ULBP1 | |
| A430108B07Rik; ALCAN-beta; MULT1; N2DL1; N2DL-1; NKG2D ligand; NKG2D ligand 1; NKG2D ligand1; NKG2DL1; RAET1I; retinoic acid early transcript 1I; UL16 binding protein 1; UL16-binding protein 1; UL16-binding protein-like transcript 1; ULBP; ULBP 1; ULBP1 | |
| Rabbit | |
| Affinity Chromatography | |
| RUO | |
| 77777, 80329 | |
| -20°C, Avoid Freeze/Thaw Cycles | |
| Liquid |
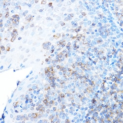
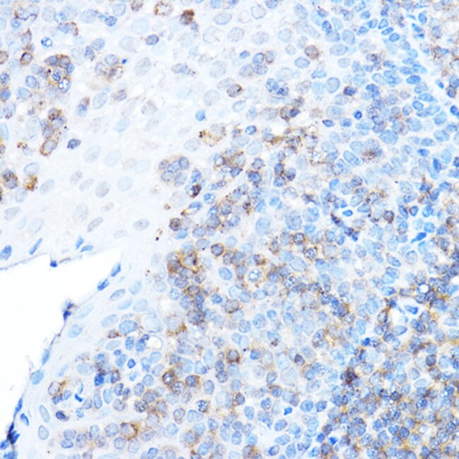
| ELISA, Immunohistochemistry (Paraffin), Western Blot | |
| 7.06 mg/mL | |
| PBS with 50% glycerol and 0.02% sodium azide; pH 7.3 | |
| Q9BZM6 | |
| ULBP1 | |
| Recombinant protein (or fragment). | |
| 100 μL | |
| Primary | |
| Human, Mouse | |
| Antibody | |
| IgG |
Your input is important to us. Please complete this form to provide feedback related to the content on this product.