missing translation for 'onlineSavingsMsg'
Learn More
Learn More
Invitrogen™ AGTR1 Recombinant Rabbit Monoclonal Antibody (HL2524)

Rabbit Recombinant Monoclonal Antibody
Brand: Invitrogen™ MA556587
This item is not returnable.
View return policy
Description
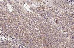
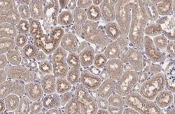
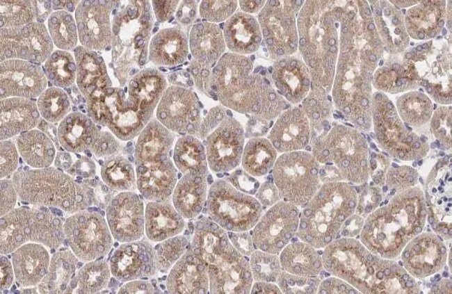
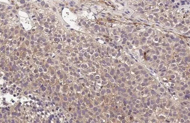
AGTR1 Recombinant Monoclonal Antibody for Western Blot, ICC/IF, IHC (P)
AGTR1 is known as Angiotensin II Type 1 Receptor. Angiotensin II is a potent vasopressor hormone and a primary regulator of aldosterone secretion. It is an important effector controlling blood pressure and volume in the cardiovascular system. And it acts through at least two types of receptors. This gene encodes the type 1 receptor which is thought to mediate the major cardiovascular effects of angiotensin II. Moreover, this gene may play a role in the generation of reperfusion arrhythmias following restoration of blood flow to ischemic or infarcted myocardium. It was previously thought that a related gene, denoted as AGTR1B, existed; however, it is now believed that there is only one type 1 receptor gene in humans. Multiple alternatively spliced transcript variants have been reported for this gene.
Specifications
| AGTR1 | |
| Recombinant Monoclonal | |
| 1 mg/mL | |
| PBS with no preservative | |
| P29754, P30556 | |
| AGTR1, Agtr1a | |
| Synthetic peptide encompassing a sequence within the Extracellular domain of human AGTR1. The exact sequence is proprietary. | |
| 100 μL | |
| Primary | |
| Human, Mouse | |
| Antibody | |
| IgG |
| Immunohistochemistry (Paraffin), Western Blot, Immunocytochemistry | |
| HL2524 | |
| Unconjugated | |
| AGTR1 | |
| 1810074K20Rik; AG2S; AGTR1; Agtr1a; Agtr-1a; AGTR1B; AI551199; angiotensin II receptor type 1; angiotensin II receptor, type 1; angiotensin II receptor, type 1a; Angiotensin II type-1 receptor; Angiotensin II type-1A receptor; angiotensin receptor 1; angiotensin receptor 1a; Angtr-1a; AT1; At1a; AT1AR; AT1B; AT1BR; AT1R; AT2R1; AT2R1A; AT2R1B; HAT1R; Type-1 angiotensin II receptor; Type-1A angiotensin II receptor; type-1B angiotensin II receptor; vascular type-1 angiotensin II receptor | |
| Rabbit | |
| Protein A | |
| RUO | |
| 11607, 185 | |
| -20°C, Avoid Freeze/Thaw Cycles | |
| Liquid |
Product Content Correction
Your input is important to us. Please complete this form to provide feedback related to the content on this product.
Product Title
Spot an opportunity for improvement?Share a Content Correction