missing translation for 'onlineSavingsMsg'
Learn More

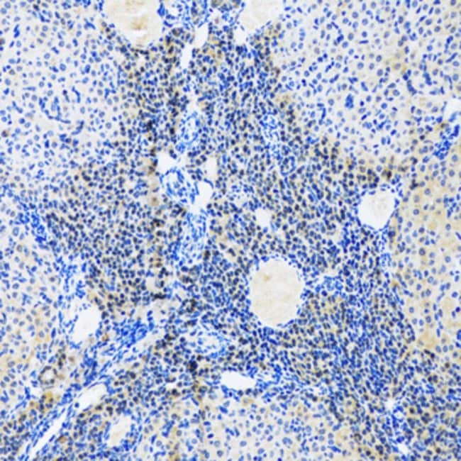
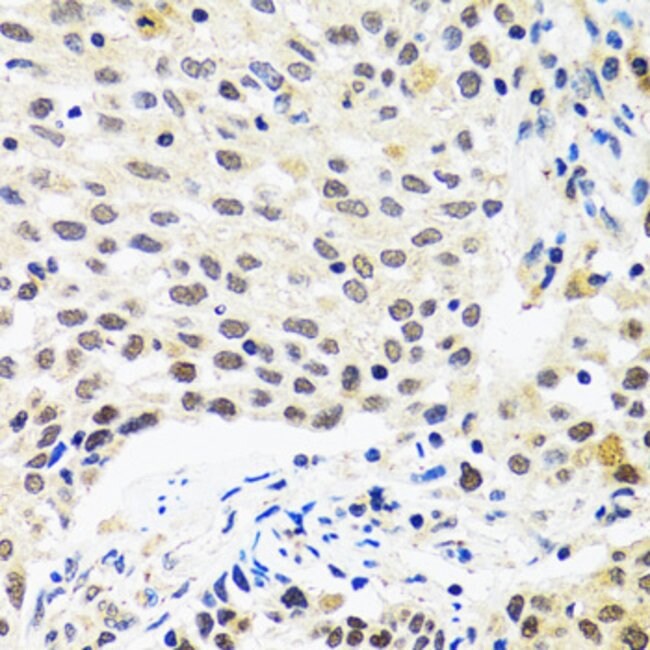
Myogenin Polyclonal Antibody, Invitrogen™

Product Code. 17197933
Change view
Click to view available options
Quantity:
100 μL
Unit Size:
100µL
1 product options available for selection
Product selection table with 1 available options. Use arrow keys to navigate and Enter or Space to select.
Product Code. Quantity unitSize
17197933 100 μL 100µL
Use arrow keys to navigate between rows. Press Enter or Space to select a product option. 1 options available.
1 options
This item is not returnable. View return policy
Product Code. 17197933 Supplier Invitrogen Supplier No. PA5110007

Please to purchase this item. Need a web account? Register with us today!

This item is currently unavailable or has been discontinued.
View the product page for possible alternatives.
View alternative products

This item is not returnable. View return policy

Rabbit Polyclonal Antibody

Sequence of this protein is as follows: MELYETSPYF YQEPRFYDGE NYLPVHLQGF EPPGYERTEL TLSPEAPGPL EDKGLGTPEH CPGQCLPWAC KVCKRKSVSV DRRRAATLRE KRRLKKVNEA FEALKRSTLL NPNQRLPKVE ILRSAIQYIE RLQALLSSLN QEERDLRYRG GGGPQPGVPS ECSSHSASCS PEWGSALEFS ANPGDHLLTA DPTDAHNLHS LTSIVDSITV EDVSVAFPDE TMPN

Myogenin is a muscle-specific transcription factor that can induce myogenesis in a variety of cell types in tissue culture. It is a member of a large family of proteins related by sequence homology, the helix-loop-helix proteins. It is essential for the development of functional skeletal muscle.
TRUSTED_SUSTAINABILITY

Specifications

Antigen Myogenin
Applications Immunocytochemistry, Immunohistochemistry (Paraffin), Western Blot
Classification Polyclonal
Conjugate Unconjugated
Formulation PBS with 50% glycerol and 0.02% sodium azide; pH 7.3
Gene MYOG
Gene Accession No. P12979, P15173, P20428
Gene Alias BHLHC3; Class C basic helix-loop-helix protein 3; MYF4; Myf-4; myo; MYOD1-related protein; MYOG; Myogenic factor 4; Myogenic factor-4; Myogenin
Gene Symbols MYOG
Host Species Rabbit
Immunogen Recombinant fusion protein containing a sequence corresponding to amino acids 1-224 of human Myogenin (NP_002470.2).
Purification Method Antigen affinity chromatography
Quantity 100 μL
Regulatory Status RUO
Primary or Secondary Primary
Gene ID (Entrez) 17928, 29148, 4656
Target Species Human, Mouse, Rat
Content And Storage -20°C, Avoid Freeze/Thaw Cycles
Product Type Antibody
Form Liquid
Isotype IgG
Show More Show Less
Product Title
Select an issue

By clicking Submit, you acknowledge that you may be contacted by Fisher Scientific in regards to the feedback you have provided in this form. We will not share your information for any other purposes. All contact information provided shall also be maintained in accordance with our Privacy Policy.