missing translation for 'onlineSavingsMsg'
Learn More

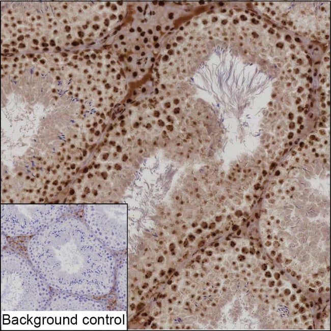
Invitrogen™ NPM1 Recombinant Rabbit Monoclonal Antibody (K01_1U96)

Rabbit Recombinant Monoclonal Antibody

Brand:  Invitrogen™ MA564916

 View more versions of this product

Product Code. 30830446

  • 498.00 € / 50µL

Please to purchase this item. Need a web account? Register with us today!

This item is not returnable. View return policy

Description

Description

Immunogen sequence: MEDSMDMDMS PLRPQNYLF Highest antigen sequence identity to the following orthologs: Mouse - 100%, Rat - 100%, Pig - 100%, Cynomolgus monkey - 100%.

NPM1 (Nucleophosmin 1, B23, nutramin, NO38) is a ubiquitously expressed phosphoprotein involved in ribosome assembly/transport, cytoplasmic/nuclear trafficking, regulation of DNA polymerase alpha activity, centrosome duplication, and regulation of p53. NPM1 continuously shuttles between the nucleus, cytoplasm, nucleolus and chaperoning core histones from the nucleus to the cytoplasm. NPM1 has been shown to bind nucleic acid, prevent protein aggregation via its chaperon activities, protect enzymes during thermal denaturation, and facilitate renaturation of chemically denatured proteins. In its cellular structure role, there is evidence suggesting NPM1 is associated with the centrosome, and is the substrate of CDK2/cyclin E during duplication of centrosomes (cellular division). Due to the NPM1 gene interaction with several tumor-associated chromosome translocations, NPM1 is thought to be a portion of several fusion proteins: NPM-ALK, NPM-RAR, and NPM-MLF1. While it is not thought to be part of the transforming potential of these fusion proteins, NPM1 is believed to act as the interface for oligomerization and oncogenic conversion of these tumor promoting fusion proteins. Further, NPM1 is also known to sequester the tumor suppressor RF in the nucleolus, protecting it from degradation until it is necessary. Dysfunction of the NPM1 protein is associated with diseases such as acute myeloid leukemia and lymphomatoid papulosis.
TRUSTED_SUSTAINABILITY
Specifications

Specifications

NPM1
Recombinant Monoclonal
1 mg/mL
50mM tris glycine with 0.05% BSA, 40% glycerol, 150mM NaCl and 0.01% sodium azide; pH 7.4
P06748
NPM1
A synthetic peptide of human Nucleophosmin (aa 1-19).
50 μL
Primary
Human
Antibody
IgG
Immunohistochemistry (Paraffin), Western Blot
K01_1U96
Unconjugated
NPM1
B23; B23 antibody; B23NP; MGC104254; mNPM antibody; mNPM1 antibody; NO38; NO38 antibody; Npm; npm1; npm1.L; Nucleolar phosphoprotein B23; nucleolar protein B23.1; nucleolar protein B23/No38; nucleolar protein NO38; Nucleophosmin; nucleophosmin (nucleolar phosphoprotein B23, numatrin); nucleophosmin (nucleolar phosphoprotein B23, numatrin) L homeolog; nucleophosmin 1; nucleophosmin/nucleoplasmin family, member 1; nucleoplasmin; numatrin; numatrin antibody; testicular tissue protein Li 128; unnamed protein product; XELAEV_18020022mg
Rabbit
Protein A/G
RUO
4869
Maintain refrigerated at 2-8°C for up to 1 month. For long term storage store at -20°C
Liquid
Product Suggestions

Product Suggestions

Videos
SDS
Documents

Documents

Certificates
Promotions

Promotions

Product Content Correction

Your input is important to us. Please complete this form to provide feedback related to the content on this product.

Product Title

By clicking Submit, you acknowledge that you may be contacted by Fisher Scientific in regards to the feedback you have provided in this form. We will not share your information for any other purposes. All contact information provided shall also be maintained in accordance with our Privacy Policy.

Thank You! Your feedback has been submitted. Fisher Scientific is always working to improve our content for you. We appreciate your feedback.