missing translation for 'onlineSavingsMsg'
Learn More
Learn More
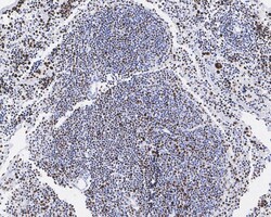
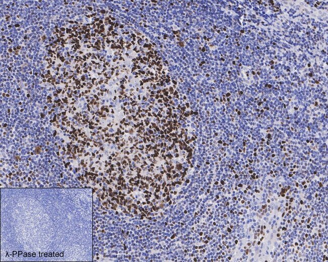
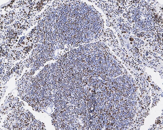
Invitrogen™ Phospho-MCM2 (Ser40) Recombinant Rabbit Monoclonal Antibody (JE35-01)

Rabbit Recombinant Monoclonal Antibody
Brand: Invitrogen™ MA556568
This item is not returnable.
View return policy
Description
Phospho-MCM2 (Ser40) Recombinant Monoclonal Antibody for Western Blot, ICC/IF, IHC (P), Flow
MCM2 (Mini chromosome maintenance protein 2) is involved in regulating DNA replication. MCM2 (also called CDCL1, mitotin and BM28), is a human nuclear protein that is crucial in the cell cycle, being involved in the onset of DNA replication and cell division. It is similar to members of the family of early S-phase proteins. MCM2 has been mapped to 3q21. From its localization, CDCL1 became a candidate for an oncogene affected by chromosomal breaks in acute myeloid leukemia (AML).
Specifications
| Phospho-MCM2 (Ser40) | |
| Recombinant Monoclonal | |
| 1 mg/mL | |
| TBS with 0.05% BSA, 40% glycerol and 0.05% sodium azide; pH 7.4 | |
| P49736, P97310 | |
| MCM2 | |
| Synthetic phosphopeptide corresponding to residues surrounding Ser40 of human MCM2. | |
| 100 μL | |
| Primary | |
| Human, Mouse, Rat | |
| Antibody | |
| IgG |
| Flow Cytometry, Immunohistochemistry (Paraffin), Western Blot, Immunocytochemistry | |
| JE35-01 | |
| Unconjugated | |
| MCM2 | |
| AA959861; AW476101; BM28; CCNL1; cdc19; CDCL1; cell devision cycle-like 1; cyclin-like 1; D3S3194; DFNA70; DNA replication licensing factor MCM2; Kiaa0030; MCM DNA helicase complex subunit MCM2; Mcm2; Mcmd2; MGC10606; mini chromosome maintenance deficient 2; minichromosome maintenance complex component 2; minichromosome maintenance deficient 2 (mitotin); minichromosome maintenance deficient 2 mitotin; minichromosome maintenance deficient 2 mitotin (S. cerevisiae); Minichromosome maintenance protein 2; Minichromosome maintenance protein 2 homolog; MITOTIN; mKIAA0030; Nuclear protein BM28; YBL023C; YBL0438 | |
| Rabbit | |
| Protein A | |
| RUO | |
| 17216, 312538, 4171 | |
| Store at 4°C short term. For long term storage, store at -20°C, avoiding freeze/thaw cycles. | |
| Liquid |
Product Content Correction
Your input is important to us. Please complete this form to provide feedback related to the content on this product.
Product Title
Spot an opportunity for improvement?Share a Content Correction