missing translation for 'onlineSavingsMsg'
Learn More
Learn More
Invitrogen™ PKM1 Recombinant Rabbit Monoclonal Antibody (PSH04-37)

Rabbit Recombinant Monoclonal Antibody
Brand: Invitrogen™ MA556480
This item is not returnable.
View return policy
Description
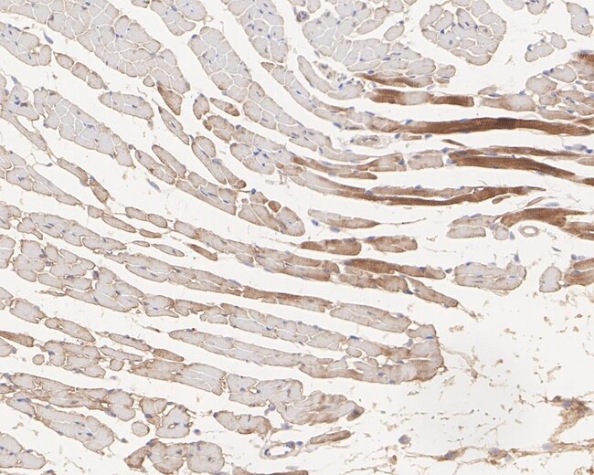
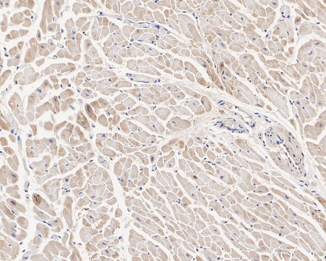
PKM1 Recombinant Monoclonal Antibody for Western Blot, ICC/IF, IHC (P), Flow
PKM1 encodes a protein involved in glycolysis. The encoded protein is a pyruvate kinase that catalyzes the transfer of a phosphoryl group from phosphoenolpyruvate to ADP, generating ATP and pyruvate. This protein has been shown to interact with thyroid hormone and may mediate cellular metabolic effects induced by thyroid hormones. This protein has been found to bind Opa protein, a bacterial outer membrane protein involved in gonococcal adherence to and invasion of human cells, suggesting a role of this protein in bacterial pathogenesis. Several alternatively spliced transcript variants encoding a few distinct isoforms have been reported.
Specifications
| PKM1 | |
| Recombinant Monoclonal | |
| 1 mg/mL | |
| PBS with 0.1% BSA, 40% glycerol and 0.05% sodium azide; pH 7.4 | |
| P11980, P14618, P52480 | |
| PKM | |
| Synthetic peptide within human PKM1 aa 389-433/531. | |
| 100 μL | |
| Primary | |
| Human, Mouse, Rat | |
| Antibody | |
| IgG |
| Flow Cytometry, Immunohistochemistry (Paraffin), Western Blot, Immunocytochemistry | |
| PSH04-37 | |
| Unconjugated | |
| PKM | |
| AA414905; AL024370; AL024424; CTHBP; Cytosolic thyroid hormone-binding protein; epididymis secretory protein Li 30; HEL-S-30; OIP3; OIP-3; Opa-interacting protein 3; p58; PK, muscle type; PK2; Pk-2; PK3; Pk-3; Pkm; PKM1; PKM12; PKM2; Pykm; Pyruvate kinase 2/3; pyruvate kinase 3; pyruvate kinase isozymes M1/M2; pyruvate kinase muscle isozyme; Pyruvate kinase PKM; pyruvate kinase, muscle; TCB; THBP1; Thyroid hormone-binding protein 1; thyroid hormone-binding protein, cytosolic; tumor M2-PK | |
| Rabbit | |
| Protein A | |
| RUO | |
| 18746, 25630, 5315 | |
| Store at 4°C short term. For long term storage, store at -20°C, avoiding freeze/thaw cycles. | |
| Liquid |
Product Content Correction
Your input is important to us. Please complete this form to provide feedback related to the content on this product.
Product Title
Spot an opportunity for improvement?Share a Content Correction