missing translation for 'onlineSavingsMsg'
Learn More
Learn More
Invitrogen™ PRG2 Recombinant Rabbit Monoclonal Antibody (HL2547)

Rabbit Recombinant Monoclonal Antibody
Brand: Invitrogen™ MA556843
This item is not returnable.
View return policy
Description
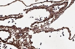
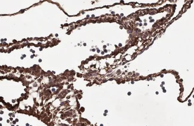
PRG2 Recombinant Monoclonal Antibody for Western Blot, ICC/IF, IHC (P)
The protein encoded by this gene is the predominant constituent of the crystalline core of the eosinophil granule. High levels of the proform of this protein are also present in placenta and pregnancy serum, where it exists as a complex with several other proteins including pregnancy-associated plasma protein A (PAPPA), angiotensinogen (AGT), and C3dg. This protein may be involved in antiparasitic defense mechanisms as a cytotoxin and helminthotoxin, and in immune hypersensitivity reactions. It is directly implicated in epithelial cell damage, exfoliation, and bronchospasm in allergic diseases.
Specifications
| PRG2 | |
| Recombinant Monoclonal | |
| 1 mg/mL | |
| PBS with no preservative | |
| P13727, Q61878 | |
| PRG2 | |
| Recombinant fragment of human PRG2. | |
| 100 μL | |
| Primary | |
| Human, Mouse | |
| Antibody | |
| IgG |
| Immunohistochemistry (Paraffin), Western Blot, Immunocytochemistry | |
| HL2547 | |
| Unconjugated | |
| PRG2 | |
| BMPG; bone marrow proteoglycan; bone-marrow proteoglycan; EMBP; Eosinophil granule major basic protein; eosinophil major basic protein; LPR3; major basic protein 1; MBP; MBP1; Mbp-1; mMBP; mMBP-1; natural killer cell activator; Pregnancy-associated major basic protein; PRG2; PRG-2; proMBP; Proteoglycan 2; proteoglycan 2 preproprotein; proteoglycan 2, bone marrow; proteoglycan 2, bone marrow (natural killer cell activator, eosinophil granule major basic protein); proteoglycan 2, pro eosinophil major basic protein | |
| Rabbit | |
| Protein A | |
| RUO | |
| 19074, 5553 | |
| -20°C, Avoid Freeze/Thaw Cycles | |
| Liquid |
Product Content Correction
Your input is important to us. Please complete this form to provide feedback related to the content on this product.
Product Title
Spot an opportunity for improvement?Share a Content Correction