missing translation for 'onlineSavingsMsg'
Learn More

Invitrogen™ SERPINF2 Monoclonal Antibody (C3), Invitrogen™

Mouse Monoclonal Antibody

Brand:  Invitrogen™ MA551012

 View more versions of this product

Product Code. 17950853

  • 185.00 € / 20µL

Please to purchase this item. Need a web account? Register with us today!

This item is not returnable. View return policy

Description

Description

This gene encodes a member of the serpin family of serine protease inhibitors. The protein is a major inhibitor of plasmin, which degrades fibrin and various other proteins. Consequently, the proper function of this gene has a major role in regulating the blood clotting pathway. Mutations in this gene result in alpha-2-plasmin inhibitor deficiency, which is characterized by severe hemorrhagic diathesis. Multiple transcript variants encoding different isoforms have been found for this gene.
TRUSTED_SUSTAINABILITY
Specifications

Specifications

SERPINF2
Monoclonal
1 mg/mL
PBS with 50% glycerol and 0.05% Proclin 300; pH 7.4
P08697
SERPINF2
Recombinant Human a2PI protein (Accession #P08697).
20 μL
Primary
Human, Pig
Antibody
IgG1 κ
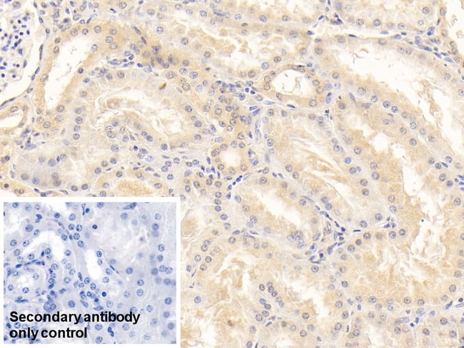
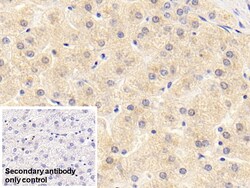
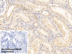
Immunohistochemistry (Paraffin), Western Blot
C3
Unconjugated
SERPINF2
A2AP; AAP; AI747498; alpha 2 antiplasmin; alpha-2-antiplasmin; Alpha-2-AP; alpha-2-PI; Alpha-2-plasmin inhibitor; API; pigment epithelium derived factor; plasmin inhibitor alpha 2; Pli; serine (or cysteine) peptidase inhibitor, clade F, member 2; serine (or cysteine) proteinase inhibitor, clade F (alpha-2 antiplasmin, pigment epithelium derived factor), member 2; serine (or cysteine) proteinase inhibitor, clade F, member 2; Serpimf2; serpin F2; serpin family F member 2; serpin peptidase inhibitor, clade F (alpha-2 antiplasmin, pigment epithelium derived factor), member 2; Serpinf2
Mouse
Protein A/G
RUO
100525254, 5345
Store at 4°C short term. For long term storage, store at -20°C, avoiding freeze/thaw cycles.
Liquid
Product Suggestions

Product Suggestions

Videos
SDS
Documents

Documents

Certificates
Promotions

Promotions

Product Content Correction

Your input is important to us. Please complete this form to provide feedback related to the content on this product.

Product Title

By clicking Submit, you acknowledge that you may be contacted by Fisher Scientific in regards to the feedback you have provided in this form. We will not share your information for any other purposes. All contact information provided shall also be maintained in accordance with our Privacy Policy.

Thank You! Your feedback has been submitted. Fisher Scientific is always working to improve our content for you. We appreciate your feedback.