missing translation for 'onlineSavingsMsg'
Learn More

Invitrogen™ STAT4 Recombinant Rabbit Monoclonal Antibody (2H9L5)

Rabbit Recombinant Monoclonal Antibody

Brand:  Invitrogen™ 700185

Product Code. 15366944

  • 514.00 € / 100µg

Please to purchase this item. Need a web account? Register with us today!

This item is not returnable. View return policy

Description

Description

This antibody is predicted to react with chicken, equine and porcine based on sequence homology. Intact IgG appears on a non-reducing gel as ~150 kDa band and upon reduction generating a ~25 kDa light chain band and a ~50 kDa heavy chain. Recombinant rabbit monoclonal antibodies are produced using in vitro expression systems. The expression systems are developed by cloning in the specific antibody DNA sequences from immunoreactive rabbits. Then, individual clones are screened to select the best candidates for production. The advantages of using recombinant rabbit monoclonal antibodies include: better specificity and sensitivity, lot-to-lot consistency, animal origin-free formulations, and broader immunoreactivity to diverse targets due to larger rabbit immune repertoire.

STAT4 was originally identified using degenerate primers complementary to sequences encoding conserved regions of other STAT proteins. The STAT4 protein is most similar to STAT1 (52%) and STAT3 (47%). Functionally, STAT4 is similar to other STAT family members in that it can be tyrosine phosphorylated by Jak1 or Jak2. STAT4 forms homodimers and heterodimers with related STAT family members. Tyrosine phosphorylated STAT4 can bind the IFN-gamma activated site (GAS). Serine phosphorylation of STAT is also required for maximal transcriptional activity. STAT4 expression is restricted to the thymus, spleen and testis. Until recently the cytokine(s) responsible for activation of STAT4 had not been identified. STAT4 is now known to be activated by the cytokine interleukin 12 (IL-12). IL-12 is required for the T-cell independent induction of IFN-gamma which is a key step in the initial suppression of bacterial and parasitic infections. In addition, IL-12 is required for the development of a Th1 response which is necessary for effective host defense against intracellular pathogens. STAT4-deficient mice display impaired IL-12 development of Th1 cells and enhanced development of Th2 cells. A recent study in mouse has shown that in response to viral infection IFN-a/b activation of STAT4 is required for IFN-g production.
TRUSTED_SUSTAINABILITY
Specifications

Specifications

STAT4
Recombinant Monoclonal
0.5 mg/mL
PBS with 0.09% sodium azide
P42228, Q14765
STAT4
A peptide corresponding to amino acids 730-748 of Q14765.
100 μg
Primary
Human, Mouse, Rat
Antibody
IgG
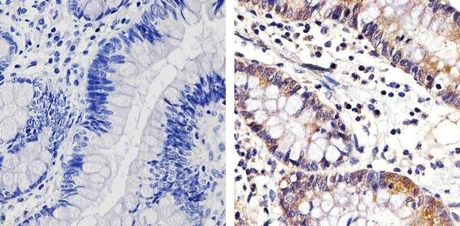
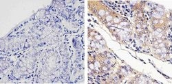
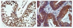
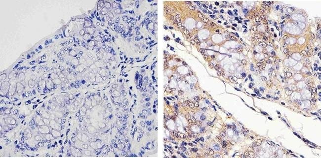
ELISA, Flow Cytometry, Immunohistochemistry (Paraffin), Western Blot, Immunocytochemistry
2H9L5
Unconjugated
STAT4
CIS4; HSPC060; OTTHUMP00000163553; Signal transducer and activator of transcription 4; SLEB11; SOCS4; SOCS6; SSI4; STAI4; STAT; Stat4; STATI4
Rabbit
Protein A
RUO
20849, 367264, 6775
Store at 4°C short term. For long term storage, store at -20°C, avoiding freeze/thaw cycles.
Liquid
Product Suggestions

Product Suggestions

Videos
SDS
Documents

Documents

Certificates
Promotions

Promotions

Product Content Correction

Your input is important to us. Please complete this form to provide feedback related to the content on this product.

Product Title

By clicking Submit, you acknowledge that you may be contacted by Fisher Scientific in regards to the feedback you have provided in this form. We will not share your information for any other purposes. All contact information provided shall also be maintained in accordance with our Privacy Policy.

Thank You! Your feedback has been submitted. Fisher Scientific is always working to improve our content for you. We appreciate your feedback.