missing translation for 'onlineSavingsMsg'
Learn More

Invitrogen™ TFE3 Recombinant Rabbit Monoclonal Antibody (24GB2630)

Rabbit Recombinant Monoclonal Antibody

Brand:  Invitrogen™ MA557771

 View more versions of this product

Product Code. 30275620

  • 198.00 € / 20µL

Please to purchase this item. Need a web account? Register with us today!

This item is not returnable. View return policy

Description

Description

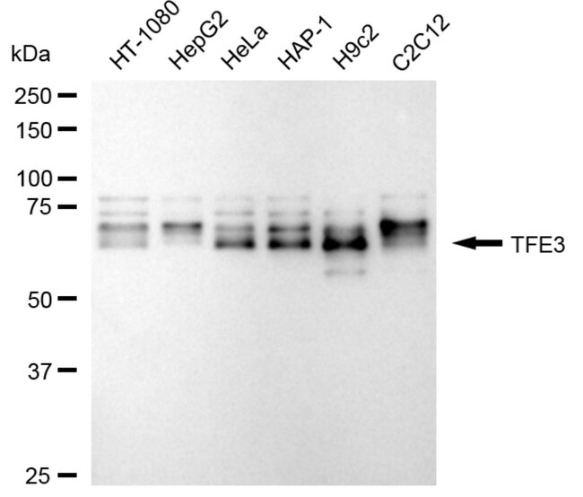
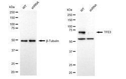
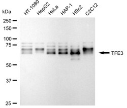
TFE3 Recombinant Monoclonal Antibody for Western Blot, ICC/IF, Flow

The activation of gene transcription is a multistep process that is triggered by factors that recognize transcriptional enhancer sites in DNA. These factors work with co-activators to direct transcriptional initiation by the RNA polymerase II apparatus. The protein encoded by this gene is a subunit of the CRSP (cofactor required for SP1 activation) complex, which, along with TFIID, is required for efficient activation by SP1. This protein is also a component of other multisubunit complexes e.g. thyroid hormone receptor-(TR-) associated proteins which interact with TR and facilitate TR function on DNA templates in conjunction with initiation factors and cofactors. This protein contains a bipartite nuclear localization signal. This gene is known to escape chromosome X-inactivation.
TRUSTED_SUSTAINABILITY
Specifications

Specifications

TFE3
Recombinant Monoclonal
0.8 mg/mL
PBS with 50% glycerol and 0.02% sodium azide; pH 7.4
P19532, Q64092
TFE3
A synthesized peptide derived from human TFE3 (aa 150-450).
20 μL
Primary
Human, Mouse, Rat
Antibody
IgG
Flow Cytometry, Western Blot, Immunocytochemistry
24GB2630
Unconjugated
TFE3
bHLHe33; Class E basic helix-loop-helix protein 33; F830016E06Rik; RCCP2; RCCX1; RGD1559642; Tcfe3; TFE3; Tfe-3; TFEA; transcription factor binding to IGHM enhancer 3; transcription factor E family, member A; transcription factor E3; transcription factor for IgH enhancer; transcription factor for immunoglobulin heavy-chain enhancer 3
Rabbit
Affinity chromatography
RUO
209446, 317376, 7030
-20°C
Liquid
Product Suggestions

Product Suggestions

Videos
SDS
Documents

Documents

Certificates
Promotions

Promotions

Product Content Correction

Your input is important to us. Please complete this form to provide feedback related to the content on this product.

Product Title

By clicking Submit, you acknowledge that you may be contacted by Fisher Scientific in regards to the feedback you have provided in this form. We will not share your information for any other purposes. All contact information provided shall also be maintained in accordance with our Privacy Policy.

Thank You! Your feedback has been submitted. Fisher Scientific is always working to improve our content for you. We appreciate your feedback.