missing translation for 'onlineSavingsMsg'
Learn More

Invitrogen™ TFF3 Recombinant Rabbit Monoclonal Antibody (K03_1J30)
GREENER_CHOICE

Product Code. 30826208
Change view
Click to view available options
Quantity:
50 μL
100 μL
2 product options available for selection
Product selection table with 2 available options. Use arrow keys to navigate and Enter or Space to select.
Product Code. Quantity
30826208 100 μL
30826264 50 μL
Use arrow keys to navigate between rows. Press Enter or Space to select a product option. 2 options available.
2 options
This item is not returnable. View return policy
Product Code. 30826208 Supplier Invitrogen™ Supplier No. MA563097

Please to purchase this item. Need a web account? Register with us today!

This item is not returnable. View return policy

Rabbit Recombinant Monoclonal Antibody

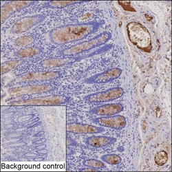
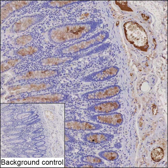
TFF3 Recombinant Monoclonal Antibody for IHC (P)

Trefoil peptides are protease resistant molecules secreted throughout the gut that play a role in mucosal healing. Trefoil peptides contain three intrachain disulfide bonds, forming the trefoil motif, or P-domain and clustered in human chromosome 21q22.3. Trefoil Factor 3 (TFF3) is one of three trefoil peptides secreted by epithelial cells that line mucus membranes in the large and small intestines and lower respiratory tract. TFF3 is mainly active as a disulfide-linked homodimer and may have a role in promoting cell migration in healing processes. It is involved in the maintenance and repair of the intestinal mucosa.
TRUSTED_SUSTAINABILITY

Specifications

Antigen TFF3
Applications Immunohistochemistry (Paraffin)
Classification Recombinant Monoclonal
Clone K03_1J30
Concentration 1 mg/mL
Conjugate Unconjugated
Formulation PBS with 50% glycerol, 0.5% BSA and 0.09% sodium azide
Gene TFF3
Gene Accession No. Q07654
Gene Alias hITF; hP1.B; Intestinal trefoil factor; ITF; mITF; P1B; Polypeptide P1.B; rITF; rP1.B; Tff3; TFI; Trefoil factor 3; trefoil factor 3 (intestinal); trefoil factor 3, intestinal
Gene Symbols TFF3
Host Species Rabbit
Immunogen Recombinant human TFF3 protein.
Purification Method Protein A/G
Quantity 100 μL
Regulatory Status RUO
Primary or Secondary Primary
Gene ID (Entrez) 7033
Target Species Human
Content And Storage Maintain refrigerated at 2-8°C for up to 1 month. For long term storage store at -20°C
Product Type Antibody
Form Liquid
Isotype IgG
Show More Show Less
Product Title
Select an issue

By clicking Submit, you acknowledge that you may be contacted by Fisher Scientific in regards to the feedback you have provided in this form. We will not share your information for any other purposes. All contact information provided shall also be maintained in accordance with our Privacy Policy.