missing translation for 'onlineSavingsMsg'
Learn More

TRERF1 Antibody, Novus Biologicals™

Rabbit Polyclonal Antibody

280.00 € - 624.00 €

Specifications

Antigen TRERF1
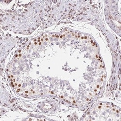
Dilution Immunohistochemistry, Immunohistochemistry-Paraffin 1:50 - 1:200
Applications Immunohistochemistry, Immunohistochemistry (Paraffin)
Classification Polyclonal
Conjugate Unconjugated
View More Specs

Products 2
Product Code Brand Quantity Price Quantity & Availability  
Product Code Brand Quantity Price Quantity & Availability  
18639315
View Documents
Novus Biologicals
NBP2-38883-25ul
25 μL
280.00 €
25µL
View alternative products
Save Up to 
»
Please to purchase this item. Need a web account? Register with us today!
18126978
View Documents
Novus Biologicals
NBP2-38883
0.1 mL
624.00 €
0.10mL
View alternative products
Save Up to 
»
Please to purchase this item. Need a web account? Register with us today!
Description

Description

TRERF1 Polyclonal specifically detects TRERF1 in Human samples. It is validated for Immunohistochemistry, Immunohistochemistry-Paraffin.
Specifications

Specifications

TRERF1
Immunohistochemistry, Immunohistochemistry (Paraffin)
Unconjugated
RUO
PBS (pH 7.2) and 40% Glycerol with 0.02% Sodium Azide
BCAR2, Breast cancer estrogen resistance 2RAPAHSA277276, dJ139D8.5, FLJ21198, rapa-1, rapa-2, RP1-139D8.5, transcriptional regulating factor 1, transcriptional regulating protein 132, transcriptional-regulating factor 1, Transcriptional-regulating protein 132, TReP-132, TREP132, Zinc finger protein rapa, Zinc finger transcription factor TReP-132
TRERF1
IgG
Affinity Purified
Immunohistochemistry, Immunohistochemistry-Paraffin 1:50 - 1:200
Polyclonal
Rabbit
Human
Q96PN7
55809
This antibody was developed against a recombinant protein corresponding to amino acids: PSGIHLNNMGPQHQQLSPSAMWPQMHLPDGRAQPGSPESSGQPKGAFGEQFDAKNKLTCSICLKEFKNLPALNGHMRSHG
Primary
Specificity of antibody verified on a Protein Array containing target protein plus 383 other non-specific proteins.
Videos
SDS
Documents

Documents

Product Certifications
Product Content Correction

Your input is important to us. Please complete this form to provide feedback related to the content on this product.

Product Title

By clicking Submit, you acknowledge that you may be contacted by Fisher Scientific in regards to the feedback you have provided in this form. We will not share your information for any other purposes. All contact information provided shall also be maintained in accordance with our Privacy Policy.

Thank You! Your feedback has been submitted. Fisher Scientific is always working to improve our content for you. We appreciate your feedback.