missing translation for 'onlineSavingsMsg'
Learn More

Invitrogen™ TSPO Monoclonal Antibody (CL13358)
GREENER_CHOICE

Mouse Monoclonal Antibody

Brand:  Invitrogen™ MA546545

Product Code. 17809165

  • 433.00 € / 100µL

Please to purchase this item. Need a web account? Register with us today!

This item is not returnable. View return policy

Description

Description

Highest antigen sequence indentity to the following orthologs: Rat - 75%, Mouse - 81%.

Mitochondrial peripheral-type benzodiazepine receptor (PBR) is an indispensable element of the steroidogenic machinery, where it mediates the delivery of cholesterol to the inner mitochondrial side chain cleavage cytochrome P-450 upon ligand activation. PBR is composed of three subunits, an isoquinoline binding site, a voltage-dependent anion channel and an adenine nucleotide carrier. PBR is genetically conserved from bacteria to humans and in humans is widely expressed in peripheral organs, whereas in the brain, it is sparse and located mainly in glial cells. Peroxisome proliferator perfluordecanoic acid (PFDA) inhibits the Leydig cell steroidogenesis by affecting PBR mRNA stability, thus inhibiting PBR expression, cholesterol transport into the mitochondria and subsequent steroid formation. A cytoplasmic protein, PRAX-1 ( peripheral benzodiazepine receptor-associated protein 1), is found to specifically interact with PBR.
TRUSTED_SUSTAINABILITY
Specifications

Specifications

TSPO
Monoclonal
0.97 mg/mL
PBS with 40% glycerol and 0.02% sodium azide; pH 7.2
P30536
Tspo
Synthetic Peptide.
100 μL
Primary
Human
Antibody
IgG2b
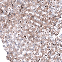
Immunohistochemistry (Paraffin), Western Blot, Immunocytochemistry
CL13358
Unconjugated
Tspo
Benzodiazepin receptor (peripheral); benzodiazepine peripheral binding site; benzodiazepine receptor, peripheral; BPBS; BZRP; DBI; IBP; isoquinoline-binding protein; MBR; mDRC; mitochondrial benzodiazepine receptor; OTTHUMP00000028891; PBR; PBS; peripheral-type benzodiazepine receptor; pk18; PKBS; PTBR; Ptbzr; PTBZR02; RATPTBZR02; translocator protein; translocator protein (18kDa); TSPO; Tspo1
Mouse
Protein A
RUO
706
Store at 4°C short term. For long term storage, store at -20°C, avoiding freeze/thaw cycles.
Liquid
Product Suggestions

Product Suggestions

Videos
SDS
Documents

Documents

Certificates
Promotions

Promotions

Product Content Correction

Your input is important to us. Please complete this form to provide feedback related to the content on this product.

Product Title

By clicking Submit, you acknowledge that you may be contacted by Fisher Scientific in regards to the feedback you have provided in this form. We will not share your information for any other purposes. All contact information provided shall also be maintained in accordance with our Privacy Policy.

Thank You! Your feedback has been submitted. Fisher Scientific is always working to improve our content for you. We appreciate your feedback.