missing translation for 'onlineSavingsMsg'
Learn More
Learn More
Description
Immunogen sequence: TVFHMKRRLH AAEGVEPGSQ RWFFSGRPLT DKMKFEELKI PKDYVVQVIV SQPVQNPTPV Highest antigen sequence identity to the following orthologs: Mouse - 95%, Rat - 95%.
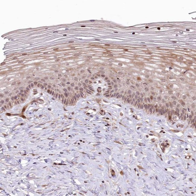
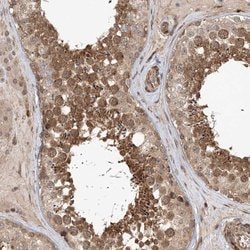
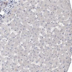
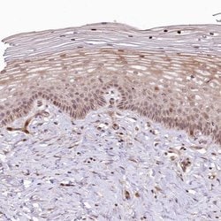
UBTD2 gene ontology (GO) annotation includes cytoplasm and cytoplasm.
Specifications
Specifications
| Antigen | UBTD2 |
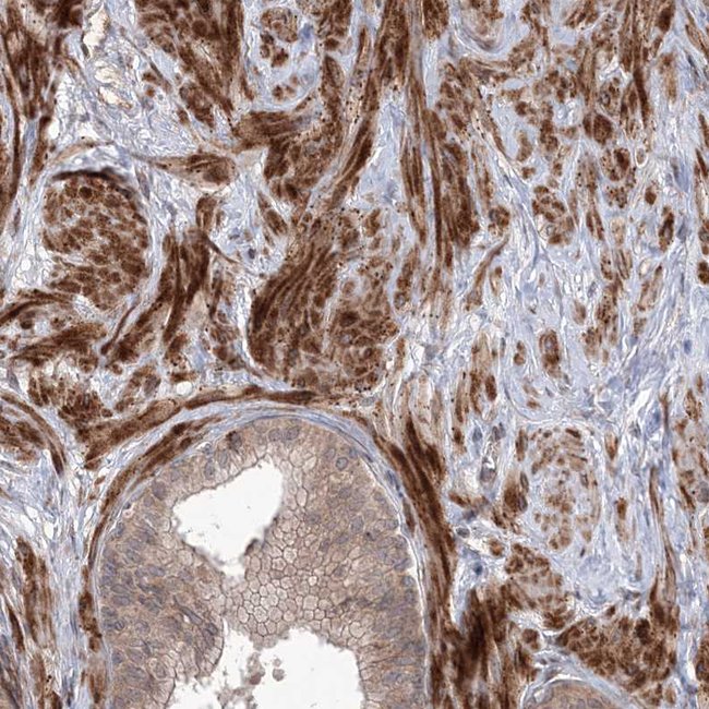
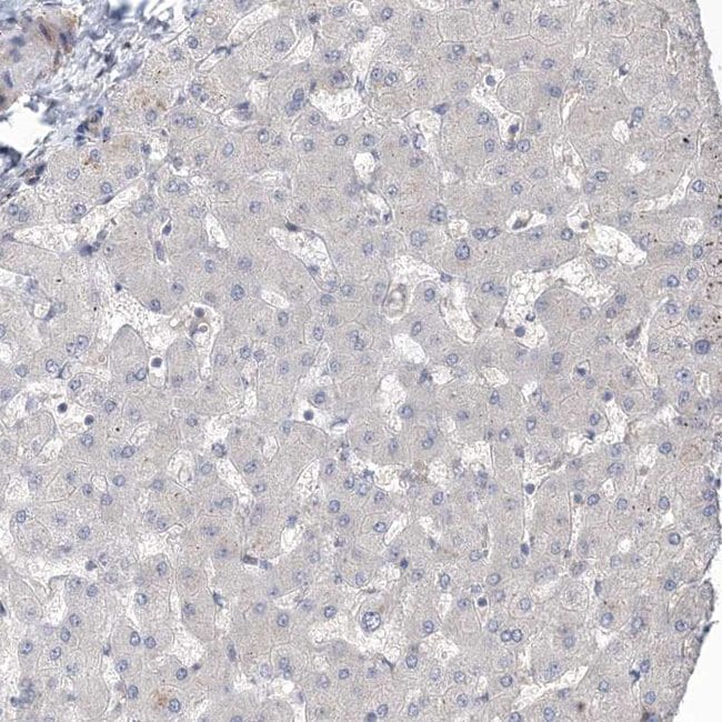
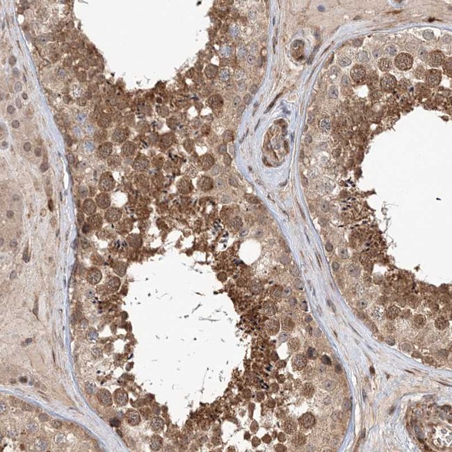
| Applications | Immunohistochemistry (Paraffin), Western Blot |
| Classification | Polyclonal |
| Concentration | 0.2 mg/mL |
| Conjugate | Unconjugated |
| Formulation | PBS with 40% glycerol and 0.02% sodium azide; pH 7.2 |
| Gene | UBTD2 |
| Gene Accession No. | Q8WUN7 |
| Gene Alias | 4930571L24; 9630054F20Rik; AI645720; DCUBP; DC-UbP; Dendritic cell-derived ubiquitin-like protein; RGD1305506; SB72; ubiquitin domain containing 2; ubiquitin domain-containing protein 2; Ubiquitin-like protein SB72; Ubtd2 |
| Gene Symbols | UBTD2 |
| Show More |
Product Title
By clicking Submit, you acknowledge that you may be contacted by Fisher Scientific in regards to the feedback you have provided in this form. We will not share your information for any other purposes. All contact information provided shall also be maintained in accordance with our Privacy Policy.
Spot an opportunity for improvement?
