missing translation for 'onlineSavingsMsg'
Learn More

ZAG Antibody, Novus Biologicals™

Rabbit Polyclonal Antibody

Brand:  Novus Biologicals NBP2-97955-50ul

 View more versions of this product

Product Code. 18607634

  • 216.00 € / 50µL

Please to purchase this item. Need a web account? Register with us today!

This item is not returnable. View return policy

Description

Description

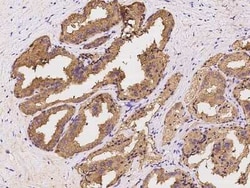
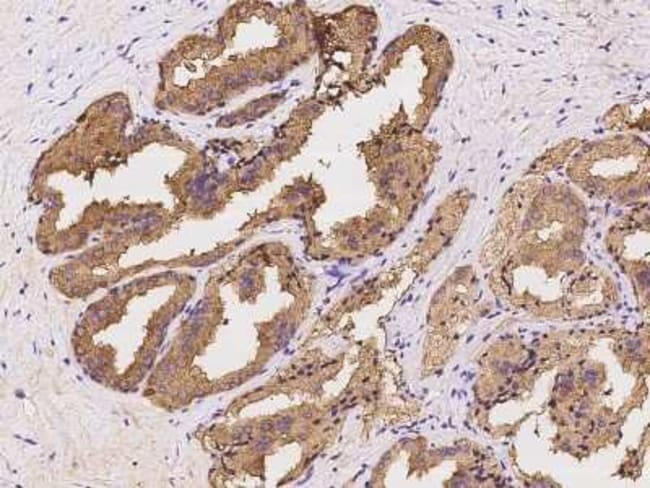
ZAG Polyclonal antibody specifically detects ZAG in Human samples. It is validated for Immunohistochemistry (Paraffin)
TRUSTED_SUSTAINABILITY
Specifications

Specifications

ZAG
Polyclonal
Immunohistochemistry-Paraffin 1:500-1:5000
alpha-2-glycoprotein 1, zinc, alpha-2-glycoprotein 1, zinc-binding, ZA2G, ZAGzn-alpha-2-GP, zinc, zinc-alpha-2-glycoprotein, zn-alpha-2-glycoprotein, ZNGP1
Produced in rabbits immunized with E. coli-derived Human ZAG fragment.
50 μg
Endocrinology, Immunology, Innate Immunity, Signal Transduction
563
Store at 4°C short term. Aliquot and store at -20°C long term. Avoid freeze-thaw cycles.
IgG
Immunohistochemistry (Paraffin)
Unconjugated
PBS (pH 7.0)
Rabbit
Antigen and protein A Affinity-purified
RUO
Primary
Human
Purified
Product Suggestions

Product Suggestions

Videos
SDS
Documents

Documents

Certificates
Promotions

Promotions

Product Content Correction

Your input is important to us. Please complete this form to provide feedback related to the content on this product.

Product Title

By clicking Submit, you acknowledge that you may be contacted by Fisher Scientific in regards to the feedback you have provided in this form. We will not share your information for any other purposes. All contact information provided shall also be maintained in accordance with our Privacy Policy.

Thank You! Your feedback has been submitted. Fisher Scientific is always working to improve our content for you. We appreciate your feedback.