missing translation for 'onlineSavingsMsg'
Learn More

ALS2CR3 Antibody - BSA Free, Novus Biologicals™

Product Code. 30559560 Shop All Bio Techne Products
Change view
Click to view available options
Quantity:
100 μg
Unit Size:
100µg
1 product options available for selection
Product selection table with 1 available options. Use arrow keys to navigate and Enter or Space to select.
Product Code. Quantity unitSize
30559560 100 μg 100µg
Use arrow keys to navigate between rows. Press Enter or Space to select a product option. 1 options available.
1 options
This item is not returnable. View return policy
Product Code. 30559560 Supplier Novus Biologicals Supplier No. NBP345743

Please to purchase this item. Need a web account? Register with us today!

This item is not returnable. View return policy

Rabbit Polyclonal Antibody

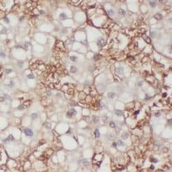
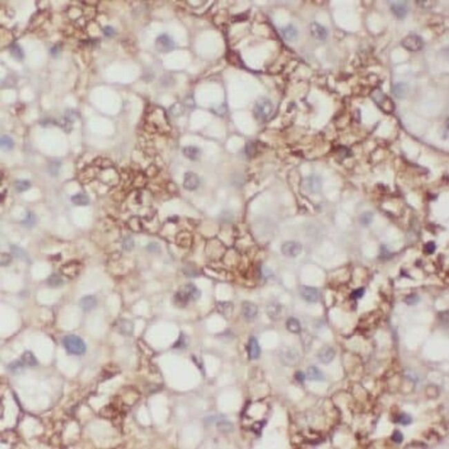
ALS2CR3 Polyclonal antibody specifically detects ALS2CR3 in Human,Mouse,Rat samples. It is validated for ELISA,Immunohistochemistry,Immunoprecipitation,Western Blot,Immunocytochemistry/ Immunofluorescence
TRUSTED_SUSTAINABILITY

Specifications

Antigen ALS2CR3
Applications ELISA, Immunohistochemistry, Immunoprecipitation, Western Blot, Immunocytochemistry/Immunofluorescence
Classification Polyclonal
Conjugate Unconjugated
Dilution Western Blot 1:500-1:5000, ELISA, Immunohistochemistry 1:20-1:200, Immunocytochemistry/ Immunofluorescence 1:20-1:200, Immunoprecipitation 1:200-1:2000
Formulation PBS, 50% Glycerol, pH (7.3)
Gene Alias ALS2CR3GRIF1, CALS-C, GRIF-1, KIAA0549amyotrophic lateral sclerosis 2 (juvenile) chromosome region, candidate 3, OIP98Amyotrophic lateral sclerosis 2 chromosomal region candidate gene 3 protein, trafficking kinesin-binding protein 2, trafficking protein, kinesin binding 2
Host Species Rabbit
Immunogen trafficking protein, kinesin binding 2. (Uniprot# O60296)
Purification Method Immunogen affinity purified
Quantity 100 μg
Regulatory Status RUO
Primary or Secondary Primary
Gene ID (Entrez) 66008
Target Species Human, Mouse, Rat
Content And Storage Store at -20°C. Avoid freeze-thaw cycles.
Form Purified
Isotype IgG
Show More Show Less
Product Title
Select an issue

By clicking Submit, you acknowledge that you may be contacted by Fisher Scientific in regards to the feedback you have provided in this form. We will not share your information for any other purposes. All contact information provided shall also be maintained in accordance with our Privacy Policy.