missing translation for 'onlineSavingsMsg'
Learn More

CISD1 Antibody - BSA Free, Novus Biologicals™

Product Code. 30559211 Shop All Bio Techne Products
Change view
Click to view available options
Quantity:
100 μg
Unit Size:
100µg
1 product options available for selection
Product selection table with 1 available options. Use arrow keys to navigate and Enter or Space to select.
Product Code. Quantity unitSize
30559211 100 μg 100µg
Use arrow keys to navigate between rows. Press Enter or Space to select a product option. 1 options available.
1 options
This item is not returnable. View return policy
Product Code. 30559211 Supplier Novus Biologicals Supplier No. NBP347599

Please to purchase this item. Need a web account? Register with us today!

This item is not returnable. View return policy

Rabbit Polyclonal Antibody

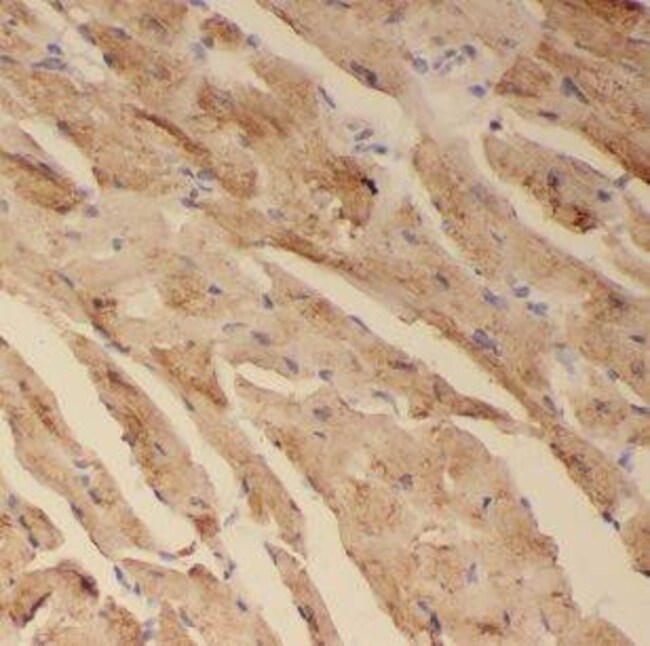
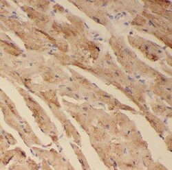
CISD1 Polyclonal antibody specifically detects CISD1 in Human,Mouse,Rat,Zebrafish samples. It is validated for ELISA,Immunohistochemistry,Immunoprecipitation,Western Blot,Serum,Immunocytochemistry/ Immunofluorescence
TRUSTED_SUSTAINABILITY

Specifications

Antigen CISD1
Applications ELISA, Immunohistochemistry, Immunoprecipitation, Western Blot, Immunocytochemistry/Immunofluorescence
Classification Polyclonal
Conjugate Unconjugated
Dilution Western Blot 1:500-1:2000, ELISA, Immunohistochemistry 1:20-1:200, Immunocytochemistry/ Immunofluorescence 1:20-1:200, Immunoprecipitation 1:200-1:1000, Serum FC
Formulation PBS, 50% Glycerol, pH (7.3)
Gene Alias C10orf70, CDGSH iron sulfur domain 1, CDGSH iron sulfur domain-containing protein 1, CDGSH iron-sulfur domain-containing protein 1, chromosome 10 open reading frame 70, MDS029, MGC14684, mitoNEET, ZCD1, zinc finger CDGSH-type domain 1, zinc finger, CDGSH-type domain 1
Host Species Rabbit
Immunogen CDGSH iron sulfur domain 1. (Uniprot# Q9NZ45)
Purification Method Immunogen affinity purified
Quantity 100 μg
Regulatory Status RUO
Research Discipline Core ESC Like Genes, Stem Cell Markers
Primary or Secondary Primary
Gene ID (Entrez) 55847
Target Species Human, Mouse, Rat, Zebrafish
Content And Storage Store at -20°C. Avoid freeze-thaw cycles.
Form Purified
Isotype IgG
Show More Show Less
Product Title
Select an issue

By clicking Submit, you acknowledge that you may be contacted by Fisher Scientific in regards to the feedback you have provided in this form. We will not share your information for any other purposes. All contact information provided shall also be maintained in accordance with our Privacy Policy.