missing translation for 'onlineSavingsMsg'
Learn More

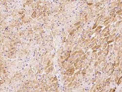
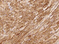
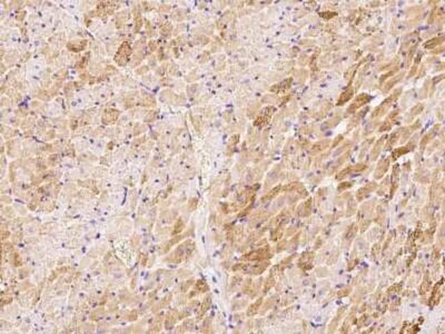
ERK3/MAPK6 Antibody, Novus Biologicals™

Product Code. 18601016 Shop All Bio Techne Products
Change view
Click to view available options
Quantity:
100 μg
50 μg
Unit Size:
100µL
50µL
2 product options available for selection
Product selection table with 2 available options. Use arrow keys to navigate and Enter or Space to select.
Product Code. Quantity unitSize
18601016 50 μg 50µL
18611206 100 μg 100µL
Use arrow keys to navigate between rows. Press Enter or Space to select a product option. 2 options available.
2 options
This item is not returnable. View return policy
Product Code. 18601016 Supplier Novus Biologicals Supplier No. NBP29900350ul

Please to purchase this item. Need a web account? Register with us today!

This item is not returnable. View return policy

Rabbit Polyclonal Antibody

ERK3/MAPK6 Polyclonal antibody specifically detects ERK3/MAPK6 in Human samples. It is validated for Immunohistochemistry (Paraffin)
TRUSTED_SUSTAINABILITY

Specifications

Antigen ERK3/MAPK6
Applications Immunohistochemistry (Paraffin)
Classification Polyclonal
Conjugate Unconjugated
Dilution Immunohistochemistry-Paraffin 1:500-1:2000
Formulation 0.2 μm filtered solution in PBS
Gene Alias DKFZp686F03189, EC 2.7.11, EC 2.7.11.24, ERK-3, ERK3p97-MAPK, Extracellular signal-regulated kinase 3, extracellular signal-regulated kinase, p97, HsT17250, MAP kinase 6, MAP kinase isoform p97, MAPK 6, mitogen-activated protein kinase 6, p97MAPK, PRKM6, protein kinase, mitogen-activated 5, protein kinase, mitogen-activated 6
Host Species Rabbit
Immunogen Produced in rabbits immunized with a synthetic peptide corresponding to the center region of the Human ERK3/MAPK6.
Purification Method Antigen and protein A Affinity-purified
Quantity 50 μg
Regulatory Status RUO
Research Discipline Breast Cancer, Cancer, Cell Cycle and Replication, Cellular Markers, Hypoxia, Signal Transduction, Stem Cell Markers
Primary or Secondary Primary
Gene ID (Entrez) 5597
Target Species Human
Content And Storage Store at 4°C short term. Aliquot and store at -20°C long term. Avoid freeze-thaw cycles.
Form Purified
Isotype IgG
Show More Show Less
Product Title
Select an issue

By clicking Submit, you acknowledge that you may be contacted by Fisher Scientific in regards to the feedback you have provided in this form. We will not share your information for any other purposes. All contact information provided shall also be maintained in accordance with our Privacy Policy.