missing translation for 'onlineSavingsMsg'
Learn More

MBNL3 Antibody - BSA Free, Novus Biologicals™

Product Code. 30558199 Shop All Bio Techne Products
Change view
Click to view available options
Quantity:
100 μg
Unit Size:
100µg
1 product options available for selection
Product selection table with 1 available options. Use arrow keys to navigate and Enter or Space to select.
Product Code. Quantity unitSize
30558199 100 μg 100µg
Use arrow keys to navigate between rows. Press Enter or Space to select a product option. 1 options available.
1 options
This item is not returnable. View return policy
Product Code. 30558199 Supplier Novus Biologicals Supplier No. NBP345948

Please to purchase this item. Need a web account? Register with us today!

This item is not returnable. View return policy

Rabbit Polyclonal Antibody

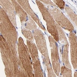
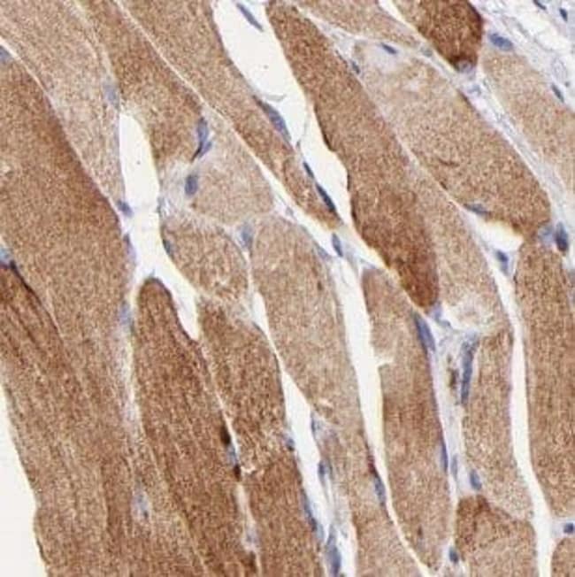
MBNL3 Polyclonal antibody specifically detects MBNL3 in Human,Mouse samples. It is validated for ELISA,Immunohistochemistry,Western Blot
TRUSTED_SUSTAINABILITY

Specifications

Antigen MBNL3
Applications ELISA, Immunohistochemistry, Western Blot
Classification Polyclonal
Conjugate Unconjugated
Dilution Western Blot 1:500-1:2000, ELISA, Immunohistochemistry 1:20-1:200
Formulation PBS, 50% Glycerol, pH (7.3)
Gene Alias CHCRMBLX39FLJ11316, Cys3His CCG1-required protein, FLJ97142, MBXLMBLX, muscleblind-like 3 (Drosophila), muscleblind-like protein 3, Muscleblind-like X-linked protein, Protein HCHCR
Host Species Rabbit
Immunogen muscleblind-like 3(Drosophila). (Uniprot# Q9NUK0)
Purification Method Immunogen affinity purified
Quantity 100 μg
Regulatory Status RUO
Primary or Secondary Primary
Gene ID (Entrez) 55796
Target Species Human, Mouse
Content And Storage Store at -20°C. Avoid freeze-thaw cycles.
Form Purified
Isotype IgG
Show More Show Less
Product Title
Select an issue

By clicking Submit, you acknowledge that you may be contacted by Fisher Scientific in regards to the feedback you have provided in this form. We will not share your information for any other purposes. All contact information provided shall also be maintained in accordance with our Privacy Policy.