missing translation for 'onlineSavingsMsg'
Learn More

PEO1 Antibody - Azide and BSA Free, Novus Biologicals™

Rabbit Polyclonal Antibody

204.00 € - 481.00 €

Specifications

Antigen PEO1
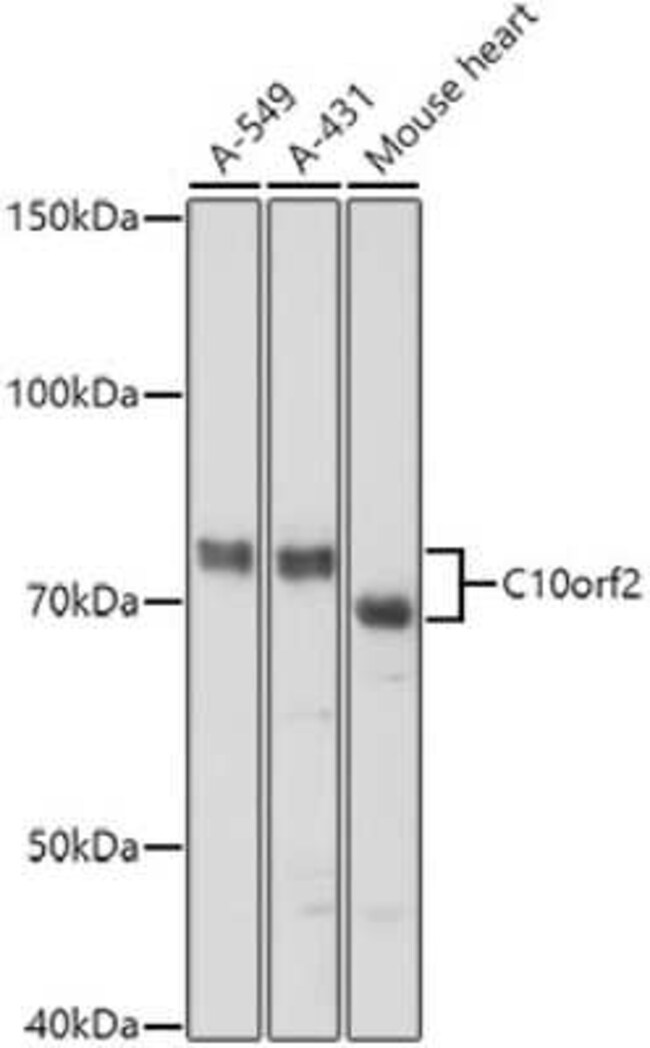
Dilution Western Blot 1:500 - 1:1000
Applications Western Blot
Classification Polyclonal
Conjugate Unconjugated
View More Specs

Products 2
Product Code Brand Quantity Price Quantity & Availability  
Product Code Brand Quantity Price Quantity & Availability  
18606941
View Documents
Novus Biologicals
NBP2-93513-0.02ml
0.02 mL
204.00 €
0.02mL
View alternative products
Save Up to 
»
Please to purchase this item. Need a web account? Register with us today!
18693841
View Documents
Novus Biologicals
NBP2-93513-0.1ml
0.1 mL
481.00 €
0.10mL
View alternative products
Save Up to 
»
Please to purchase this item. Need a web account? Register with us today!
Description

Description

PEO1 Polyclonal antibody specifically detects PEO1 in Human, Mouse, Rat samples. It is validated for Western Blot
Specifications

Specifications

PEO1
Western Blot
Unconjugated
Rabbit
Endocrinology, Neurodegeneration, Neuroscience
PBS (pH 7.3), 50% glycerol
56652
IgG
Affinity purified
Western Blot 1:500 - 1:1000
Polyclonal
Purified
RUO
Human, Mouse, Rat
ATXN8, chromosome 10 open reading frame 2, EC 3.6.4.12, FLJ21832, infantile onset spinocerebellar ataxia (autosomal recessive), IOSCA, mitochondrial, MTDPS7, PEO1PEOA3, TWINKLE
Recombinant fusion protein containing a sequence corresponding to amino acids 135-335 of human PEO1 (NP_068602.2). GAREGFLLSKAPEFEDSEEVRRIWNRAIPLWELPDQEEVQLADTMFGLTKVTDDTLKRFSVRYLRPARSLVFPWFSPGGSGLRGLKLLEAKCQGDGVSYEETTIPRPSAYHNLFGLPLISRRDAEVVLTSRELDSLALNQSTGLPTLTLPRGTTCLPPALLPYLEQFRRIVFWLGDDLRSWEAAKLFARKLNPKRCFLVRP
Primary
Store at -20°C. Avoid freeze-thaw cycles.
Videos
SDS
Documents

Documents

Product Certifications
Product Content Correction

Your input is important to us. Please complete this form to provide feedback related to the content on this product.

Product Title

By clicking Submit, you acknowledge that you may be contacted by Fisher Scientific in regards to the feedback you have provided in this form. We will not share your information for any other purposes. All contact information provided shall also be maintained in accordance with our Privacy Policy.

Thank You! Your feedback has been submitted. Fisher Scientific is always working to improve our content for you. We appreciate your feedback.