missing translation for 'onlineSavingsMsg'
Learn More

PERK Antibody, Novus Biologicals™

Rabbit Polyclonal Antibody

Brand:  Novus Biologicals NBP1-80930-25ul

 View more versions of this product

Product Code. 18408170

  • 369.00 € / 25µL

Please to purchase this item. Need a web account? Register with us today!

This item is not returnable. View return policy

Description

Description

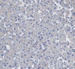
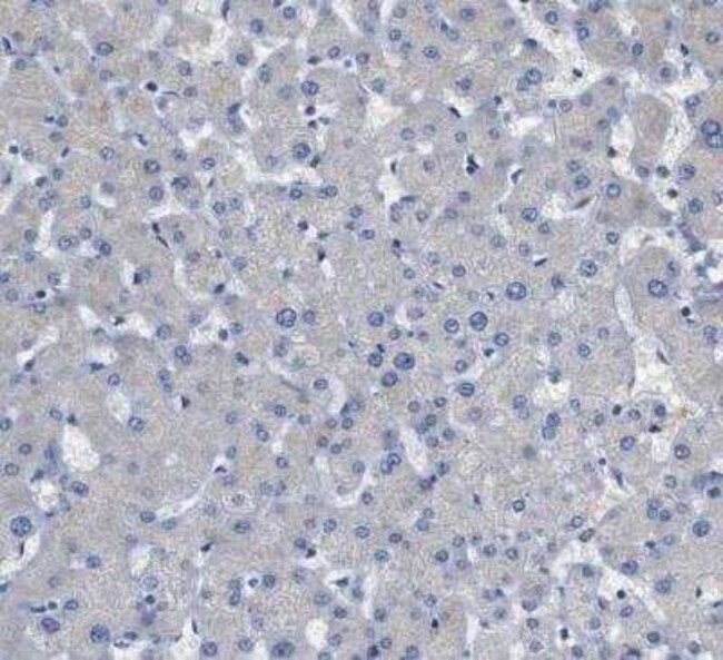
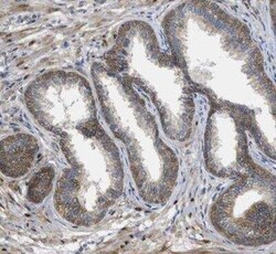
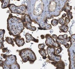
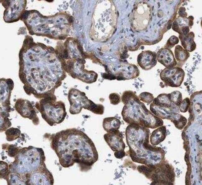
PERK Polyclonal antibody specifically detects PERK in Human, Chicken samples. It is validated for Western Blot, Immunohistochemistry, Immunocytochemistry/ Immunofluorescence, Immunohistochemistry (Paraffin)
TRUSTED_SUSTAINABILITY
Specifications

Specifications

PERK
Polyclonal
Western Blot -Reported in scientific publication( PMID: 32587659), Immunohistochemistry 1:200 - 1:500, Immunocytochemistry/ Immunofluorescence -Reported in scientific publication (PMID: 23103912), Immunohistochemistry-Paraffin 1:200 - 1:500
Q9NZJ5, Q9NZJ5, Q9NZJ5, Q9NZJ5
Rabbit
Immunogen affinity purified
RUO
Primary
Human, Chicken
Purified
Western Blot, Immunohistochemistry, Immunocytochemistry, Immunohistochemistry (Paraffin)
Unconjugated
PBS (pH 7.2) and 40% Glycerol
DKFZp781H1925, EC 2.7.11.1, eukaryotic translation initiation factor 2 alpha kinase 3, eukaryotic translation initiation factor 2-alpha kinase 3, hsPEK, PEKPERKPancreatic eIF2-alpha kinase, PRKR-like endoplasmic reticulum kinase, WRS
This antibody was developed against Recombinant Protein corresponding to amino acids: NAWLEAPPEKWQEKMDEIWLKDESTDWPLSSPSPMDAPSVKIRRMDPFATKEHIEIIAPSPQRSRSFSVGISCDQTSSSESQFSPLEFSGMDHEDISESVDAAYNLQDSCLTDCDVEDGTMDGNDE
25 μL
Protein Kinase
9451
Store at 4C short term. Aliquot and store at -20C long term. Avoid freeze-thaw cycles.
IgG
Product Suggestions

Product Suggestions

Videos
SDS
Documents

Documents

Certificates
Promotions

Promotions

Product Content Correction

Your input is important to us. Please complete this form to provide feedback related to the content on this product.

Product Title

By clicking Submit, you acknowledge that you may be contacted by Fisher Scientific in regards to the feedback you have provided in this form. We will not share your information for any other purposes. All contact information provided shall also be maintained in accordance with our Privacy Policy.

Thank You! Your feedback has been submitted. Fisher Scientific is always working to improve our content for you. We appreciate your feedback.